
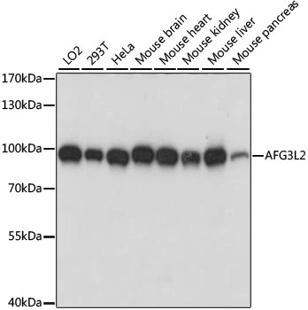
WB analysis of various sample lysates using GTX66373 AFG3L2 antibody. Dilution : 1:1000 Loading : 25μg per lane
AFG3L2 antibody
GTX66373
ApplicationsWestern Blot, ImmunoHistoChemistry, ImmunoHistoChemistry Paraffin
Product group Antibodies
ReactivityHuman, Mouse, Rat
TargetAFG3L2
Overview
- SupplierGeneTex
- Product NameAFG3L2 antibody
- Delivery Days Customer9
- Application Supplier NoteWB: 1:200 - 1:2000. IHC-P: 1:50 - 1:200. *Optimal dilutions/concentrations should be determined by the researcher.Not tested in other applications.
- ApplicationsWestern Blot, ImmunoHistoChemistry, ImmunoHistoChemistry Paraffin
- CertificationResearch Use Only
- ClonalityPolyclonal
- ConjugateUnconjugated
- Gene ID10939
- Target nameAFG3L2
- Target descriptionAFG3 like matrix AAA peptidase subunit 2
- Target synonymsOPA12, SCA28, SPAX5, mitochondrial inner membrane m-AAA protease component AFG3L2, AFG3 ATPase family gene 3-like 2, AFG3 ATPase family member 3-like 2, AFG3 like AAA ATPase 2, AFG3-like protein 2, ATPase family gene 3, yeast, paraplegin-like protein
- HostRabbit
- IsotypeIgG
- Protein IDQ9Y4W6
- Protein NameMitochondrial inner membrane m-AAA protease component AFG3L2
- Scientific DescriptionThis gene encodes a protein localized in mitochondria and closely related to paraplegin. The paraplegin gene is responsible for an autosomal recessive form of hereditary spastic paraplegia. This gene is a candidate gene for other hereditary spastic paraplegias or neurodegenerative disorders. [provided by RefSeq, Jul 2008]
- ReactivityHuman, Mouse, Rat
- Storage Instruction-20°C or -80°C,2°C to 8°C
- UNSPSC41116161







