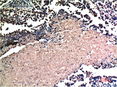
Immunohistochemistry of paraffin-embedded Human lung carcinoma tissue using AKT1 Monoclonal Antibody at dilution of 1:200.
AKT1 Monoclonal Antibody
E-AB-22240
Product group Antibodies
Overview
- SupplierElabscience
- Product NameAKT1 Monoclonal Antibody
- Delivery Days Customer12
- CertificationResearch Use Only
- Scientific DescriptionThe serine-threonine protein kinase AKT1 is catalytically inactive in serum-starved primary and immortalized fibroblasts. AKT1 and the related AKT2 are activated by platelet-derived growth factor. The activation is rapid and specific, and it is abrogated by mutations in the pleckstrin homology domain of AKT1. It was shown that the activation occurs through phosphatidylinositol 3-kinase. In the developing nervous system AKT is a critical mediator of growth factor-induced neuronal survival. Survival factors can suppress apoptosis in a transcription-independent manner by activating the serine/threonine kinase AKT1, which then phosphorylates and inactivates components of the apoptotic machinery.
- UNSPSC12352203




