
Figure 1. Western blot analysis of ACE using anti-ACE antibody (PB9124). Electrophoresis was performed on a 5-20% SDS-PAGE gel at 70V (Stacking gel) / 90V (Resolving gel) for 2-3 hours. The sample well of each lane was loaded with 50ug of sample under reducing conditions. Lane 1: rat lung tissue lysates, Lane 2: mouse lung tissue lysates, Lane 3: human Raji whole cell lysates. After Electrophoresis, proteins were transferred to a Nitrocellulose membrane at 150mA for 50-90 minutes. Blocked the membrane with 5% Non-fat Milk/ TBS for 1.5 hour at RT. The membrane was incubated with rabbit anti-ACE antigen affinity purified polyclonal antibody (Catalog # PB9124) at 0.5 microg/mL overnight at 4°C, then washed with TBS-0.1%Tween 3 times with 5 minutes each and probed with a goat anti-rabbit IgG-HRP secondary antibody at a dilution of 1:10000 for 1.5 hour at RT. The signal is developed using an Enhanced Chemiluminescent detection (ECL) kit (Catalog # EK1002) with Tanon 5200 system. A specific band was detected for ACE at approximately 180KD. The expected band size for ACE is at 150KD.
Anti-Angiotensin Converting Enzyme 1/ACE Antibody Picoband(r)
PB9124-BIOTIN
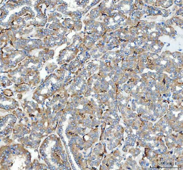
ApplicationsImmunoFluorescence, Western Blot, ImmunoCytoChemistry, ImmunoHistoChemistry, ImmunoHistoChemistry Frozen
Product group Antibodies
ReactivityHuman, Mouse, Rat
TargetACE
Overview
- SupplierBoster Bio
- Product NameAnti-Angiotensin Converting Enzyme 1/ACE Antibody Picoband(r)
- Delivery Days Customer9
- Application Supplier NoteWB: The detection limit for ACE is approximately 0.25ng/lane under reducing conditions. Tested Species: In-house tested species with positive results. By Heat: Boiling the paraffin sections in 10mM citrate buffer, pH6.0, for 20mins is required for the staining of formalin/paraffin sections. Other applications have not been tested. Optimal dilutions should be determined by end users.
- ApplicationsImmunoFluorescence, Western Blot, ImmunoCytoChemistry, ImmunoHistoChemistry, ImmunoHistoChemistry Frozen
- CertificationResearch Use Only
- ClonalityPolyclonal
- Concentration500 ug/ml
- ConjugateBiotin
- Gene ID1636
- Target nameACE
- Target descriptionangiotensin I converting enzyme
- Target synonymsACE1, CD143, DCP, DCP1, angiotensin-converting enzyme, CD143 antigen, angiotensin I converting enzyme (peptidyl-dipeptidase A) 1, carboxycathepsin, dipeptidyl carboxypeptidase 1, dipeptidyl carboxypeptidase I, kininase II, peptidase P
- HostRabbit
- IsotypeIgG
- Protein IDP12821
- Protein NameAngiotensin-converting enzyme
- Scientific DescriptionBoster Bio Anti-Angiotensin Converting Enzyme 1/ACE Antibody Picoband® catalog # PB9124. Tested in IF, IHC, IHC-F, ICC, WB applications. This antibody reacts with Human, Mouse, Rat. The brand Picoband indicates this is a premium antibody that guarantees superior quality, high affinity, and strong signals with minimal background in Western blot applications. Only our best-performing antibodies are designated as Picoband, ensuring unmatched performance.
- ReactivityHuman, Mouse, Rat
- Storage Instruction-20°C,2°C to 8°C
- UNSPSC12352203












