
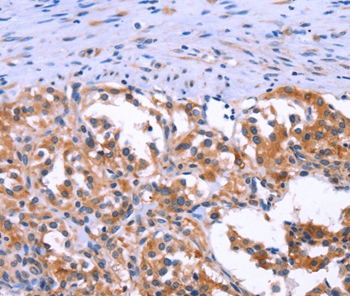
Anti-ANO1 Antibody
A38800
ApplicationsWestern Blot, ImmunoHistoChemistry
Product group Antibodies
ReactivityHuman, Mouse
Overview
- SupplierAntibodies.com
- Product NameAnti-ANO1 Antibody
- Delivery Days Customer7
- ApplicationsWestern Blot, ImmunoHistoChemistry
- CertificationResearch Use Only
- ClonalityPolyclonal
- Concentration2 mg/ml
- ConjugateUnconjugated
- HostRabbit
- Scientific DescriptionRabbit polyclonal antibody to ANO1
- ReactivityHuman, Mouse
- UNSPSC12352203








![IHC-P analysis of human gastrointestinal stromal tumor (GIST) tissue using GTX04369 TMEM16A antibody [MSVA-201M] HistoMAX?. DOG1 Tumor periphery of a GIST showing intensive TMEM16A staining in all tumor cells.](https://www.genetex.com/upload/website/prouct_img/normal/GTX04369/GTX04369_20230728_IHC-P_47_23072722_384.webp)