
All lanes use the Antibody at 1:5K dilution for 1 hour at room temperature.
Anti-BACE1/Bace Rabbit Monoclonal Antibody
M00322
ApplicationsImmunoPrecipitation, Western Blot
Product group Antibodies
ReactivityHuman, Mouse, Rat
TargetBACE1
Overview
- SupplierBoster Bio
- Product NameAnti-BACE1/Bace Rabbit Monoclonal Antibody
- Delivery Days Customer9
- ApplicationsImmunoPrecipitation, Western Blot
- CertificationResearch Use Only
- ClonalityMonoclonal
- Clone IDABFF-2
- Gene ID23621
- Target nameBACE1
- Target descriptionbeta-secretase 1
- Target synonymsASP2, BACE, HSPC104, beta-secretase 1, APP beta-secretase, asp 2, aspartyl protease 2, beta-site APP cleaving enzyme 1, beta-site APP-cleaving enzyme, beta-site amyloid beta A4 precursor protein-cleaving enzyme, memapsin-2, membrane-associated aspartic protease 2, transmembrane aspartic proteinase Asp2
- HostRabbit
- IsotypeIgG
- Protein IDP56817
- Protein NameBeta-secretase 1
- Scientific DescriptionBoster Bio Anti-BACE1/Bace Rabbit Monoclonal Antibody catalog # M00322. Tested in WB, IP applications. This antibody reacts with Human, Mouse, Rat.
- ReactivityHuman, Mouse, Rat
- Storage Instruction-20°C
- UNSPSC12352203



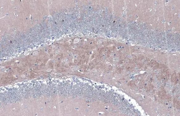
![BACE1 antibody [N1C2] detects BACE1 protein at cytoplasm by immunohistochemical analysis. Sample: Paraffin-embedded mouse hippocampus. BACE1 stained by BACE1 antibody [N1C2] (GTX103757) diluted at 1:500. Antigen Retrieval: Citrate buffer, pH 6.0, 15 min](https://www.genetex.com/upload/website/prouct_img/normal/GTX103757/GTX103757_44055_20200918_IHC-P_M_w_23060119_307.webp)




