
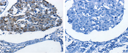
Anti-BPIFB1 Antibody
A47686
ApplicationsWestern Blot, ELISA, ImmunoHistoChemistry
Product group Antibodies
Overview
- SupplierAntibodies.com
- Product NameAnti-BPIFB1 Antibody
- Delivery Days Customer7
- ApplicationsWestern Blot, ELISA, ImmunoHistoChemistry
- CertificationResearch Use Only
- ClonalityPolyclonal
- ConjugateUnconjugated
- HostRabbit
- Scientific DescriptionRabbit polyclonal antibody to BPIFB1
- UNSPSC12352203




![ELISA analysis of antigen using GTX60533 LPlunc1 antibody [2A5]. Black : Control antigen 100ng Purple : Antigen 10ng Blue : Antigen 50ng Red : Antigen 100ng](https://www.genetex.com/upload/website/prouct_img/normal/GTX60533/GTX60533_20170912_ELISA_w_23061123_125.webp)


