
Anti-CD72 Antibody
A101502
ApplicationsWestern Blot, ELISA
Product group Antibodies
ReactivityHuman
Overview
- SupplierAntibodies.com
- Product NameAnti-CD72 Antibody
- Delivery Days Customer7
- ApplicationsWestern Blot, ELISA
- CertificationResearch Use Only
- ClonalityPolyclonal
- ConjugateUnconjugated
- HostRabbit
- IsotypeIgG
- Scientific DescriptionRabbit polyclonal antibody to CD72.
- ReactivityHuman
- UNSPSC12352203







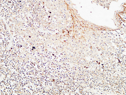
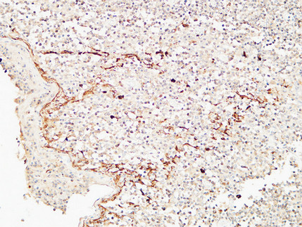
![IHC-P analysis of human tonsil tissue using GTX41843 CD72 antibody [Bu40].](https://www.genetex.com/upload/website/prouct_img/normal/GTX41843/GTX41843_2757_IHC-P_w_23051500_798.webp)



