
Figure 1. Western blot analysis of Cyclophilin B using anti-Cyclophilin B antibody (A03229). Electrophoresis was performed on a 5-20% SDS-PAGE gel at 70V (Stacking gel) / 90V (Resolving gel) for 2-3 hours. The sample well of each lane was loaded with 30 ug of sample under reducing conditions. Lane 1: human placenta tissue lysates, Lane 2: human U87 whole cell lysates, Lane 3: human Hela whole cell lysates, Lane 4: mouse HEPA1-6 whole cell lysates, Lane 5: rat PC-12 whole cell lysates, Lane 6: rat RH35 whole cell lysates, Lane 7: mouse NIH/3T3 whole cell lysates, Lane 8: mouse SP2/0 whole cell lysates. After electrophoresis, proteins were transferred to a nitrocellulose membrane at 150 mA for 50-90 minutes. Blocked the membrane with 5% non-fat milk/TBS for 1.5 hour at RT. The membrane was incubated with rabbit anti-Cyclophilin B antigen affinity purified polyclonal antibody (Catalog # A03229) at 0.5 microg/mL overnight at 4°C, then washed with TBS-0.1%Tween 3 times with 5 minutes each and probed with a goat anti-rabbit IgG-HRP secondary antibody at a dilution of 1:5000 for 1.5 hour at RT. The signal is developed using an Enhanced Chemiluminescent detection (ECL) kit (Catalog # EK1002) with Tanon 5200 system. A specific band was detected for Cyclophilin B at approximately 19 kDa. The expected band size for Cyclophilin B is at 24 kDa.
Anti-Cyclophilin B/PPIB Antibody Picoband(r)
A03229-CARRIER-FREE
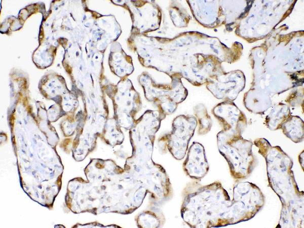
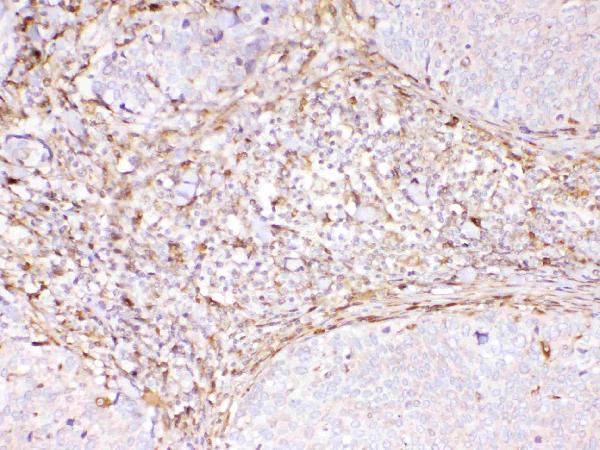
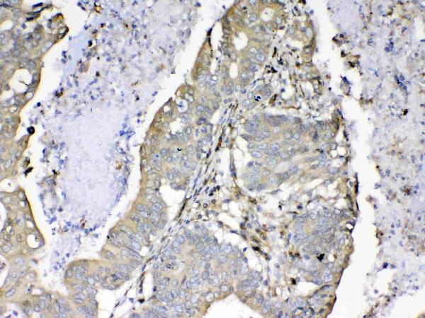
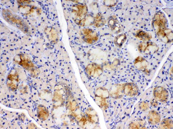
ApplicationsFlow Cytometry, ImmunoFluorescence, Western Blot, ELISA, ImmunoCytoChemistry, ImmunoHistoChemistry
Product group Antibodies
ReactivityHuman, Mouse, Rat
TargetPPIB
Overview
- SupplierBoster Bio
- Product NameAnti-Cyclophilin B/PPIB Antibody Picoband(r)
- Delivery Days Customer9
- Application Supplier NoteTested Species: In-house tested species with positive results. By Heat: Boiling the paraffin sections in 10mM citrate buffer, pH6.0, for 20mins is required for the staining of formalin/paraffin sections. Other applications have not been tested. Optimal dilutions should be determined by end users.
- ApplicationsFlow Cytometry, ImmunoFluorescence, Western Blot, ELISA, ImmunoCytoChemistry, ImmunoHistoChemistry
- CertificationResearch Use Only
- ClonalityPolyclonal
- Concentration500 ug/ml
- Gene ID5479
- Target namePPIB
- Target descriptionpeptidylprolyl isomerase B
- Target synonymsCYP-S1, CYPB, HEL-S-39, OI9, SCYLP, peptidyl-prolyl cis-trans isomerase B, PPIase B, S-cyclophilin, cyclophilin-like protein, epididymis secretory protein Li 39, peptidylprolyl isomerase B (cyclophilin B), rotamase B
- HostRabbit
- IsotypeIgG
- Protein IDP23284
- Protein NamePeptidyl-prolyl cis-trans isomerase B
- Scientific DescriptionBoster Bio Anti-Cyclophilin B/PPIB Antibody Picoband® catalog # A03229. Tested in ELISA, Flow Cytometry, IF, IHC, ICC, WB applications. This antibody reacts with Human, Mouse, Rat. The brand Picoband indicates this is a premium antibody that guarantees superior quality, high affinity, and strong signals with minimal background in Western blot applications. Only our best-performing antibodies are designated as Picoband, ensuring unmatched performance.
- ReactivityHuman, Mouse, Rat
- Storage Instruction-20°C,2°C to 8°C
- UNSPSC12352203












