
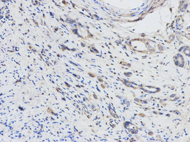
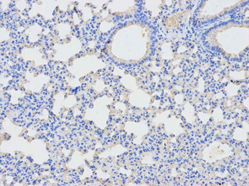
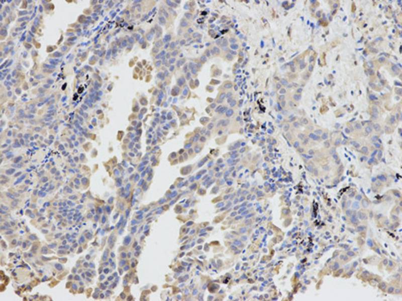
Anti-DPYD Antibody
A38443
ApplicationsWestern Blot, ImmunoHistoChemistry
Product group Antibodies
ReactivityHuman, Mouse, Rat
Overview
- SupplierAntibodies.com
- Product NameAnti-DPYD Antibody
- Delivery Days Customer7
- ApplicationsWestern Blot, ImmunoHistoChemistry
- CertificationResearch Use Only
- ClonalityPolyclonal
- Concentration1.0 mg/ml
- ConjugateUnconjugated
- HostRabbit
- Scientific DescriptionRabbit polyclonal antibody to DPYD
- ReactivityHuman, Mouse, Rat
- UNSPSC12352203







![Whole cell extract (30 μg) was separated by 7.5% SDS-PAGE, and the membrane was blotted with DPYD antibody [N1N2], N-term (GTX113672) diluted at 1:1000. The HRP-conjugated anti-rabbit IgG antibody (GTX213110-01) was used to detect the primary antibody.](https://www.genetex.com/upload/website/prouct_img/normal/GTX113672/GTX113672_40128_20220121_WB_w_23060501_516.webp)
