
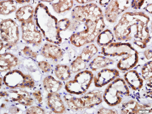
Immunohistochemical staining of human kidney shows strong cytoplasmic positivity in cells in tubules.
Anti-EMCN Antibody
HPA005928
ApplicationsImmunoHistoChemistry
Product group Antibodies
ReactivityHuman
TargetEMCN
Overview
- SupplierAtlas Antibodies
- Product NameAnti-EMCN Antibody
- Delivery Days Customer4
- ApplicationsImmunoHistoChemistry
- CertificationResearch Use Only
- ClonalityPolyclonal
- ConjugateUnconjugated
- Gene ID51705
- Target nameEMCN
- Target descriptionendomucin
- Target synonymsEMCN2, MUC14, endomucin, MUC-14, endomucin-2, gastric cancer antigen Ga34, mucin-14
- HostRabbit
- IsotypeIgG
- Protein IDQ9ULC0
- Protein NameEndomucin
- Scientific DescriptionRecombinant Protein Epitope Signature Tag (PrEST) antigen sequence
- ReactivityHuman
- Storage Instruction-20°C,2°C to 8°C
- UNSPSC41116161





![Whole cell extract (50 μg) was separated by 5% SDS-PAGE, and the membrane was blotted with Endomucin antibody [N1C2] (GTX101871) diluted at 1:1000. The HRP-conjugated anti-rabbit IgG antibody (GTX213110-01) was used to detect the primary antibody, and the signal was developed with Trident femto Western HRP Substrate.](https://www.genetex.com/upload/website/prouct_img/normal/GTX101871/GTX101871_39609_20201211_WB_w_23060100_940.webp)
