
Figure 1. Western blot analysis of Factor B using anti-Factor B antibody (PB9934). Electrophoresis was performed on a 5-20% SDS-PAGE gel at 70V (Stacking gel) / 90V (Resolving gel) for 2-3 hours. The sample well of each lane was loaded with 30 ug of sample under reducing conditions. Lane 1: A549 whole cell lysates, Lane 2: 293T whole cell lysates, Lane 3: HELA whole cell lysates. After electrophoresis, proteins were transferred to a nitrocellulose membrane at 150 mA for 50-90 minutes. Blocked the membrane with 5% non-fat milk/TBS for 1.5 hour at RT. The membrane was incubated with rabbit anti-Factor B antigen affinity purified polyclonal antibody (Catalog # PB9934) at 0.5 microg/mL overnight at 4°C, then washed with TBS-0.1%Tween 3 times with 5 minutes each and probed with a goat anti-rabbit IgG-HRP secondary antibody at a dilution of 1:5000 for 1.5 hour at RT. The signal is developed using an Enhanced Chemiluminescent detection (ECL) kit (Catalog # EK1002) with Tanon 5200 system. A specific band was detected for Factor B at approximately 86 kDa. The expected band size for Factor B is at 86 kDa.
Anti-Factor B/CFB Antibody Picoband(r)
PB9934-CARRIER-FREE
ApplicationsWestern Blot, ImmunoHistoChemistry
Product group Antibodies
ReactivityHuman
TargetCFB
Overview
- SupplierBoster Bio
- Product NameAnti-Factor B/CFB Antibody Picoband(r)
- Delivery Days Customer9
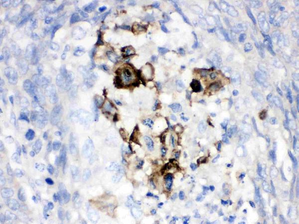
- Application Supplier NoteTested Species: In-house tested species with positive results. By Heat: Boiling the paraffin sections in 10mM citrate buffer, pH6.0, for 20mins is required for the staining of formalin/paraffin sections. Other applications have not been tested. Optimal dilutions should be determined by end users.
- ApplicationsWestern Blot, ImmunoHistoChemistry
- CertificationResearch Use Only
- ClonalityPolyclonal
- Concentration500 ug/ml
- Gene ID629
- Target nameCFB
- Target descriptioncomplement factor B
- Target synonymsAHUS4, ARMD14, BF, BFD, CFAB, CFBD, FB, FBI12, GBG, H2-Bf, PBF2, complement factor B, B-factor, properdin, C3 proaccelerator, C3 proactivator, C3/C5 convertase, glycine-rich beta-glycoprotein, properdin B, properdin factor B
- HostRabbit
- IsotypeIgG
- Protein IDP00751
- Protein NameComplement factor B
- Scientific DescriptionBoster Bio Anti-Factor B/CFB Antibody Picoband® catalog # PB9934. Tested in IHC, WB applications. This antibody reacts with Human. The brand Picoband indicates this is a premium antibody that guarantees superior quality, high affinity, and strong signals with minimal background in Western blot applications. Only our best-performing antibodies are designated as Picoband, ensuring unmatched performance.
- ReactivityHuman
- Storage Instruction-20°C,2°C to 8°C
- UNSPSC12352203







![Human plasma (30 μg) was separated by 12% SDS-PAGE, and the membrane was blotted with Factor B antibody [N2C2], Internal (GTX103570) diluted at 1:1000. The HRP-conjugated anti-rabbit IgG antibody (GTX213110-01) was used to detect the primary antibody.](https://www.genetex.com/upload/website/prouct_img/normal/GTX103570/GTX103570_40772_20191101_WB_plasma_w_23060119_431.webp)