
Anti-HAO1 Antibody
A38987
ApplicationsWestern Blot, ImmunoHistoChemistry
Product group Antibodies
ReactivityHuman, Mouse
Overview
- SupplierAntibodies.com
- Product NameAnti-HAO1 Antibody
- Delivery Days Customer7
- ApplicationsWestern Blot, ImmunoHistoChemistry
- CertificationResearch Use Only
- ClonalityPolyclonal
- Concentration1 mg/ml
- ConjugateUnconjugated
- HostRabbit
- Scientific DescriptionRabbit polyclonal antibody to HAO1
- ReactivityHuman, Mouse
- UNSPSC12352203







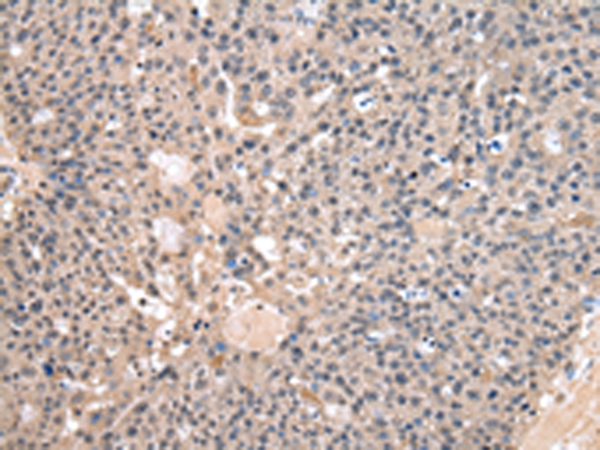
![IHC-P analysis of human colon tissue using GTX33987 HAO1 antibody [Mix]. Negative control (the lower left coner) was secondary antibody only. Antigen retrieval : Sodium citrate pH6.0 was used for antibody retrieval (>98oC, 20min) Dilution : 1:200](https://www.genetex.com/upload/website/prouct_img/normal/GTX33987/GTX33987_20200622_IHC-P_064_w_23060801_325.webp)