
Figure 1. Western blot analysis of H2AFX using anti-H2AFX antibody (M00241-1). Electrophoresis was performed on a 5-20% SDS-PAGE gel at 70V (Stacking gel) / 90V (Resolving gel) for 2-3 hours. The sample well of each lane was loaded with 30 ug of sample under reducing conditions. Lane 1: human Raji whole cell lysates, Lane 2: human MCF-7 whole cell lysates, Lane 3: human U20S whole cell lysates, Lane 4: human SiHa whole cell lysates, Lane 5: rat testis tissue lysates, Lane 6: rat thymus tissue lysates, Lane 7: mouse testis tissue lysates, Lane 8: mouse thymus tissues lysates. After electrophoresis, proteins were transferred to a nitrocellulose membrane at 150 mA for 50-90 minutes. Blocked the membrane with 5% non-fat milk/TBS for 1.5 hour at RT. The membrane was incubated with rabbit anti-H2AFX antigen affinity purified monoclonal antibody (Catalog # M00241-1) at 1:500 overnight at 4°C, then washed with TBS-0.1%Tween 3 times with 5 minutes each and probed with a goat anti-rabbit IgG-HRP secondary antibody at a dilution of 1:500 for 1.5 hour at RT. The signal is developed using an Enhanced Chemiluminescent detection (ECL) kit (Catalog # EK1002) with Tanon 5200 system. A specific band was detected for H2AFX at approximately 15 kDa. The expected band size for H2AFX is at 15 kDa.
Anti-Histone H2A.X H2AFX Rabbit Monoclonal Antibody
M00241-1
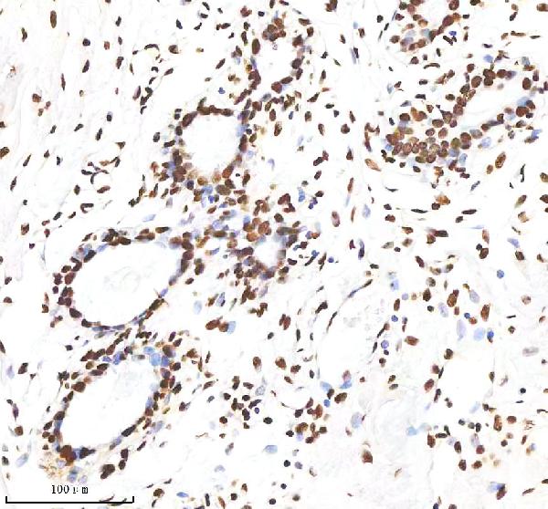
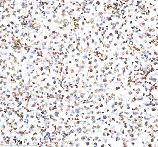
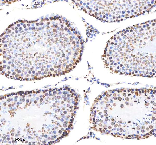
ApplicationsImmunoFluorescence, ImmunoPrecipitation, Western Blot, ImmunoCytoChemistry, ImmunoHistoChemistry
Product group Antibodies
TargetH2AX
Overview
- SupplierBoster Bio
- Product NameAnti-Histone H2A.X Rabbit Monoclonal Antibody
- Delivery Days Customer9
- ApplicationsImmunoFluorescence, ImmunoPrecipitation, Western Blot, ImmunoCytoChemistry, ImmunoHistoChemistry
- CertificationResearch Use Only
- ClonalityMonoclonal
- Clone IDBIA-8
- Gene ID3014
- Target nameH2AX
- Target descriptionH2A.X variant histone
- Target synonymsH2A histone family member X; H2A.X; H2A/X; H2AFX; H2AX histone; histone H2A.x; histone H2AX
- HostRabbit
- IsotypeIgG
- Protein IDP16104
- Protein NameHistone H2AX
- Scientific DescriptionBoster Bio Anti-Histone H2A.X H2AFX Rabbit Monoclonal Antibody catalog # M00241-1. Tested in WB, IHC, ICC/IF, IP applications. This antibody reacts with Human, Mouse, Rat.
- Storage Instruction-20°C
- UNSPSC12352203










