
Figure 1. Western blot analysis of HMG4 using anti-HMG4 antibody (PB9633). Electrophoresis was performed on a 5-20% SDS-PAGE gel at 70V (Stacking gel) / 90V (Resolving gel) for 2-3 hours. Lane 1: Mouse Liver Tissue Lysate at 50ug, Lane 2: Mouse Kidney Tissue Lysate at 50ug, Lane 3: Mouse Testis Tissue Lysate at 50ug, Lane 4: 22RV1 Whole Cell Lysate at 40ug, Lane 5: MCF-7 Whole Cell Lysate at 40ug, Lane 6: NIH3T3 Whole Cell Lysate at 40ug. After electrophoresis, proteins were transferred to a nitrocellulose membrane at 150 mA for 50-90 minutes. Blocked the membrane with 5% non-fat milk/TBS for 1.5 hour at RT. The membrane was incubated with rabbit anti-HMG4 antigen affinity purified polyclonal antibody (Catalog # PB9633) at 0.5 microg/mL overnight at 4°C, then washed with TBS-0.1%Tween 3 times with 5 minutes each and probed with a goat anti-rabbit IgG-HRP secondary antibody at a dilution of 1:5000 for 1.5 hour at RT. The signal is developed using an Enhanced Chemiluminescent detection (ECL) kit (Catalog # EK1002) with Tanon 5200 system. A specific band was detected for HMG4 at approximately 23 kDa. The expected band size for HMG4 is at 23 kDa.
Anti-HMG4/HMGB3 Antibody Picoband(r)
PB9633-CARRIER-FREE
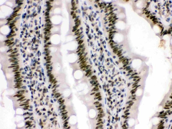
ApplicationsFlow Cytometry, ImmunoFluorescence, Western Blot, ImmunoCytoChemistry, ImmunoHistoChemistry
Product group Antibodies
ReactivityHamster, Human, Mouse, Rat
TargetHMGB3
Overview
- SupplierBoster Bio
- Product NameAnti-HMG4/HMGB3 Antibody Picoband(r)
- Delivery Days Customer9
- Application Supplier NoteTested Species: In-house tested species with positive results. By Heat: Boiling the paraffin sections in 10mM citrate buffer, pH6.0, for 20mins is required for the staining of formalin/paraffin sections. Other applications have not been tested. Optimal dilutions should be determined by end users.
- ApplicationsFlow Cytometry, ImmunoFluorescence, Western Blot, ImmunoCytoChemistry, ImmunoHistoChemistry
- CertificationResearch Use Only
- ClonalityPolyclonal
- Concentration500 ug/ml
- Gene ID3149
- Target nameHMGB3
- Target descriptionhigh mobility group box 3
- Target synonymsHMG-2a, HMG-4, HMG2A, HMG4, high mobility group protein B3, high mobility group protein 2a, high-mobility group (nonhistone chromosomal) protein 4
- HostRabbit
- IsotypeIgG
- Protein IDO15347
- Protein NameHigh mobility group protein B3
- Scientific DescriptionBoster Bio Anti-HMG4/HMGB3 Antibody Picoband® catalog # PB9633. Tested in Flow Cytometry, IF, IHC, ICC, WB applications. This antibody reacts with Human, Mouse, Rat. The brand Picoband indicates this is a premium antibody that guarantees superior quality, high affinity, and strong signals with minimal background in Western blot applications. Only our best-performing antibodies are designated as Picoband, ensuring unmatched performance.
- ReactivityHamster, Human, Mouse, Rat
- Storage Instruction-20°C,2°C to 8°C
- UNSPSC12352203












