
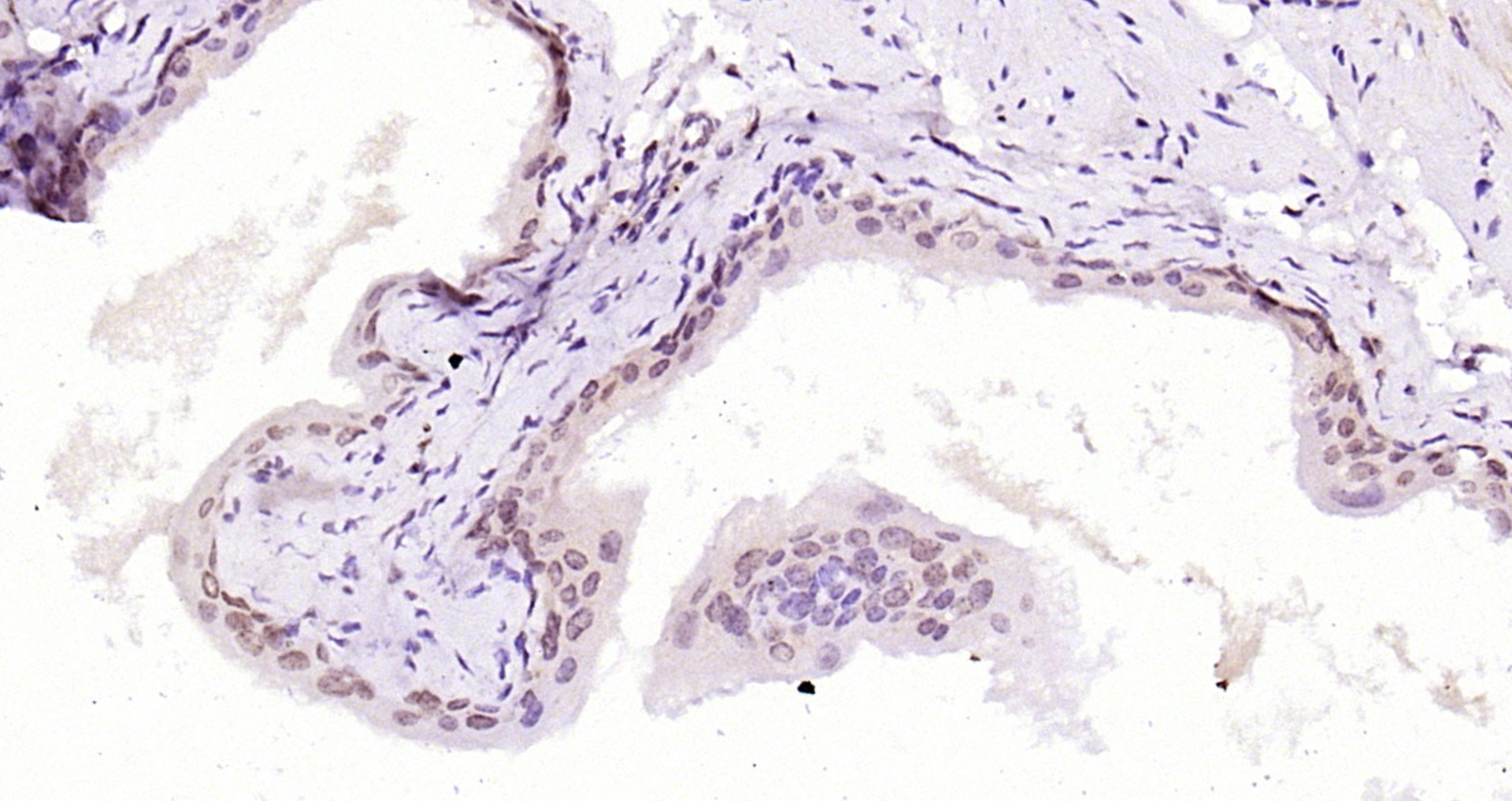
Paraformaldehyde-fixed, paraffin embedded Rat bladder; Antigen retrieval by boiling in sodium citrate buffer (pH6.0) for 15min; Block endogenous peroxidase by 3% hydrogen peroxide for 20 minutes; Blocking buffer (normal goat serum) at 37°C for 30min; Antibody incubation with HMG4/HMGB3 Polyclonal Antibody, Unconjugated (bs-8809R) at 1:200 overnight at 4°C, DAB staining.
HMG4/HMGB3 Polyclonal Antibody
BS-8809R
ApplicationsImmunoFluorescence, ImmunoHistoChemistry, ImmunoHistoChemistry Frozen, ImmunoHistoChemistry Paraffin
Product group Antibodies
ReactivityMouse, Rat
TargetHMGB3
Overview
- SupplierBioss
- Product NameHMG4/HMGB3 Polyclonal Antibody
- Delivery Days Customer16
- ApplicationsImmunoFluorescence, ImmunoHistoChemistry, ImmunoHistoChemistry Frozen, ImmunoHistoChemistry Paraffin
- Applications SupplierIHC-P(IHC-P=1:100-500), IHC-F(IHC-F=1:100-500), IF(IF=1:100-500)
- CertificationResearch Use Only
- ClonalityPolyclonal
- Concentration1 ug/ul
- ConjugateUnconjugated
- Gene ID3149
- Target nameHMGB3
- Target descriptionhigh mobility group box 3
- Target synonymsHMG-2a, HMG-4, HMG2A, HMG4, high mobility group protein B3, high mobility group protein 2a, high-mobility group (nonhistone chromosomal) protein 4
- HostRabbit
- IsotypeIgG
- Protein IDO15347
- Protein NameHigh mobility group protein B3
- ReactivityMouse, Rat
- Storage Instruction-20°C
- UNSPSC41116161







