
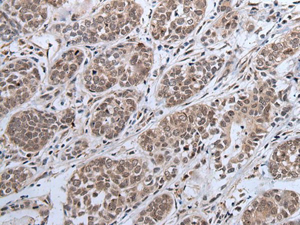
Immunohistochemistry analysis in human placenta and pancreas tissues using Anti-IWS1 antibody. Corresponding IWS1 RNA-seq data are presented for the same tissues.
Anti-IWS1 Antibody
HPA061866
ApplicationsImmunoCytoChemistry, ImmunoHistoChemistry
Product group Antibodies
ReactivityHuman
TargetIWS1
Overview
- SupplierAtlas Antibodies
- Product NameAnti-IWS1 Antibody
- Delivery Days Customer4
- ApplicationsImmunoCytoChemistry, ImmunoHistoChemistry
- CertificationResearch Use Only
- ClonalityPolyclonal
- ConjugateUnconjugated
- Gene ID55677
- Target nameIWS1
- Target descriptioninteracts with SUPT6H, CTD assembly factor 1
- Target synonymsprotein IWS1 homolog, IWS1 homolog, IWS1, SUPT6H interacting protein, IWS1-like protein, interacts with Spt6
- HostRabbit
- IsotypeIgG
- Protein IDQ96ST2
- Protein NameProtein IWS1 homolog
- Scientific DescriptionRecombinant Protein Epitope Signature Tag (PrEST) antigen sequence
- ReactivityHuman
- Storage Instruction-20°C,2°C to 8°C
- UNSPSC41116161





