
Anti-MCTS1 Antibody
A37948
ApplicationsWestern Blot, ImmunoHistoChemistry
Product group Antibodies
ReactivityHuman
Overview
- SupplierAntibodies.com
- Product NameAnti-MCTS1 Antibody
- Delivery Days Customer7
- ApplicationsWestern Blot, ImmunoHistoChemistry
- CertificationResearch Use Only
- ClonalityPolyclonal
- Concentration1.3 mg/ml
- ConjugateUnconjugated
- HostRabbit
- Scientific DescriptionRabbit polyclonal antibody to MCTS1
- ReactivityHuman
- UNSPSC12352203




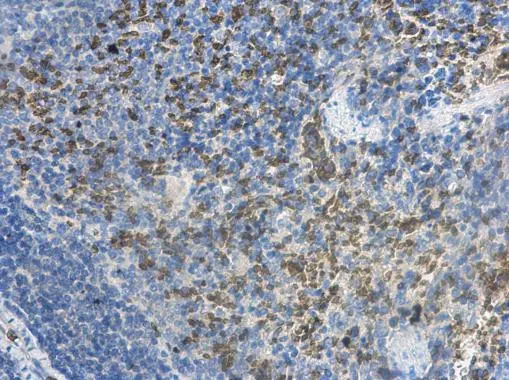
![MCTS1 antibody [N1C3] detects MCTS1 protein at cytoplasm in rat spleen by immunohistochemical analysis. Sample: Paraffin-embedded rat spleen. MCTS1 antibody [N1C3] (GTX117793) diluted at 1:500.
Antigen Retrieval: Citrate buffer, pH 6.0, 15 min](https://www.genetex.com/upload/website/prouct_img/normal/GTX117793/GTX117793_40289_20150814_IHC_R_w_23060519_825.webp)