![MCTS1 antibody [N1C3] detects MCTS1 protein at cytoplasm in rat spleen by immunohistochemical analysis. Sample: Paraffin-embedded rat spleen. MCTS1 antibody [N1C3] (GTX117793) diluted at 1:500.
Antigen Retrieval: Citrate buffer, pH 6.0, 15 min MCTS1 antibody [N1C3] detects MCTS1 protein at cytoplasm in rat spleen by immunohistochemical analysis. Sample: Paraffin-embedded rat spleen. MCTS1 antibody [N1C3] (GTX117793) diluted at 1:500.
Antigen Retrieval: Citrate buffer, pH 6.0, 15 min](https://www.genetex.com/upload/website/prouct_img/normal/GTX117793/GTX117793_40289_20150814_IHC_R_w_23060519_825.webp)
MCTS1 antibody [N1C3] detects MCTS1 protein at cytoplasm in rat spleen by immunohistochemical analysis. Sample: Paraffin-embedded rat spleen. MCTS1 antibody [N1C3] (GTX117793) diluted at 1:500.
Antigen Retrieval: Citrate buffer, pH 6.0, 15 min
MCTS1 antibody [N1C3]
GTX117793
ApplicationsWestern Blot, ImmunoHistoChemistry, ImmunoHistoChemistry Paraffin
Product group Antibodies
ReactivityHuman, Mouse, Rat
TargetMCTS1
Overview
- SupplierGeneTex
- Product NameMCTS1 antibody [N1C3]
- Delivery Days Customer9
- Application Supplier NoteWB: 1:500-1:3000. IHC-P: 1:100-1:1000. *Optimal dilutions/concentrations should be determined by the researcher.Not tested in other applications.
- ApplicationsWestern Blot, ImmunoHistoChemistry, ImmunoHistoChemistry Paraffin
- CertificationResearch Use Only
- ClonalityPolyclonal
- Concentration1 mg/ml
- ConjugateUnconjugated
- Gene ID28985
- Target nameMCTS1
- Target descriptionMCTS1 re-initiation and release factor
- Target synonymsIMD118, MCT-1, MCT1, malignant T-cell-amplified sequence 1, malignant T-cell amplified sequence 1, multiple copies T-cell malignancies, multiple copies in T-cell lymphoma-1
- HostRabbit
- IsotypeIgG
- Protein IDQ9ULC4
- Protein NameMalignant T-cell-amplified sequence 1
- Scientific DescriptionAnti-oncogene that play a role in cell cycle regulation; decreases cell doubling time and anchorage-dependent growth; shortens the duration of G1 transit time and G1/S transition. When constituvely expressed, increases CDK4 and CDK6 kinases activity and CCND1/cyclin D1 protein level, as well as G1 cyclin/CDK complex formation. Plays a role as translation enhancer; Recruits the density-regulated protein/DENR and binds to the cap complex of the 5-terminus of mRNAs, subsequently altering the mRNA translation profile; Up-regulates protein levels of BCL2L2, TFDP1, MRE11A, CCND1 and E2F1, while mRNA levels remains constant. Hyperactivates DNA damage signaling pathway; increased gamma-irradiation-induced phosphorylation of histone H2AX, and induces damage foci formation. Increases the overall number of chromosomal abnormalities such as larger chromosomes formation and multiples chromosomal fusions when over-expressed in gamma-irradiated cells. May play a role in promoting lymphoid tumor development: lymphoid cell lines over-expressing MCTS1 exhibit increased growth rates and display increased protection against apoptosis. May contribute to the pathogenesis and progression of breast cancer via promotion of angiogenesis through the decline of inhibitory THBS1/thrombospondin-1, and inhibition of apoptosis. Involved in the process of proteosome degradation to down-regulate Tumor suppressor p53/TP53 in breast cancer cell; Positively regulates phosphorylation of MAPK1 and MAPK3.
- ReactivityHuman, Mouse, Rat
- Storage Instruction-20°C or -80°C,2°C to 8°C
- UNSPSC12352203
References
- Al Haq AT, Tseng HY, Chen LM, et al. Targeting prooxidant MnSOD effect inhibits triple-negative breast cancer (TNBC) progression and M2 macrophage functions under the oncogenic stress. Cell Death Dis. 2022,13(1):49. doi: 10.1038/s41419-021-04486-xRead this paper
- Weng YS, Tseng HY, Chen YA, et al. MCT-1/miR-34a/IL-6/IL-6R signaling axis promotes EMT progression, cancer stemness and M2 macrophage polarization in triple-negative breast cancer. Mol Cancer. 2019,18(1):42. doi: 10.1186/s12943-019-0988-0Read this paper
- Tseng HY, Chen YA, Jen J, et al. Oncogenic MCT-1 activation promotes YY1-EGFR-MnSOD signaling and tumor progression. Oncogenesis. 2017,6(4):e313. doi: 10.1038/oncsis.2017.13Read this paper

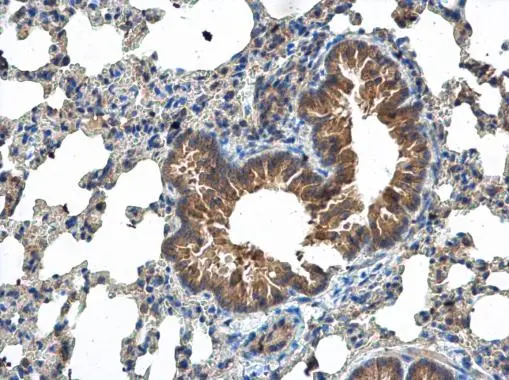
![MCTS1 antibody [N1C3] detects MCTS1 protein at cytoplasm in mouse lung by immunohistochemical analysis. Sample: Paraffin-embedded mouse lung. MCTS1 antibody [N1C3] (GTX117793) diluted at 1:500.
Antigen Retrieval: Citrate buffer, pH 6.0, 15 min MCTS1 antibody [N1C3] detects MCTS1 protein at cytoplasm in mouse lung by immunohistochemical analysis. Sample: Paraffin-embedded mouse lung. MCTS1 antibody [N1C3] (GTX117793) diluted at 1:500.
Antigen Retrieval: Citrate buffer, pH 6.0, 15 min](https://www.genetex.com/upload/website/prouct_img/normal/GTX117793/GTX117793_40289_20150814_IHC_M_w_23060519_705.webp)
![Non-transfected (–) and transfected (+) MDA-MB-231 whole cell extracts (30 μg) were separated by 12% SDS-PAGE, and the membrane was blotted with MCTS1 antibody [N1C3] (GTX117793) diluted at 1:500. The HRP-conjugated anti-rabbit IgG antibody (GTX213110-01) was used to detect the primary antibody. Non-transfected (–) and transfected (+) MDA-MB-231 whole cell extracts (30 μg) were separated by 12% SDS-PAGE, and the membrane was blotted with MCTS1 antibody [N1C3] (GTX117793) diluted at 1:500. The HRP-conjugated anti-rabbit IgG antibody (GTX213110-01) was used to detect the primary antibody.](https://www.genetex.com/upload/website/prouct_img/normal/GTX117793/GTX117793_40289_20160519_WB_shRNA_watermark_w_23060519_604.webp)



![IHC-P analysis of human pancreas tissue using GTX50967 MCTS1 antibody [2G2]. Antigen retrieval : Heat-induced epitope retrieval by 10mM citrate buffer, pH6.0, 120oC for 3min.](https://www.genetex.com/upload/website/prouct_img/normal/GTX50967/GTX50967_1315_IHC-P_w_23060900_416.webp)


