
Figure 1. Western blot analysis of Mesothelin using anti-Mesothelin antibody (PB9287). Electrophoresis was performed on a 5-20% SDS-PAGE gel at 70V (Stacking gel) / 90V (Resolving gel) for 2-3 hours. Lane 1: Recombinant Human Mesothelin Protein 0.5ng. After Electrophoresis, proteins were transferred to a Nitrocellulose membrane at 150mA for 50-90 minutes. Blocked the membrane with 5% Non-fat Milk/ TBS for 1.5 hour at RT. The membrane was incubated with rabbit anti-Mesothelin antigen affinity purified polyclonal antibody (Catalog # PB9287) at 0.5 microg/mL overnight at 4°C, then washed with TBS-0.1%Tween 3 times with 5 minutes each and probed with a goat anti-rabbit IgG-HRP secondary antibody at a dilution of 1:10000 for 1.5 hour at RT. The signal is developed using an Enhanced Chemiluminescent detection (ECL) kit (Catalog # EK1002) with Tanon 5200 system. A specific band was detected for Mesothelin at approximately 43KD. The expected band size for Mesothelin is at 43KD.
Anti-Mesothelin/MSLN Antibody Picoband(r)
PB9287-CARRIER-FREE
ApplicationsFlow Cytometry, Western Blot, ELISA, ImmunoCytoChemistry, ImmunoHistoChemistry, ImmunoHistoChemistry Frozen
Product group Antibodies
ReactivityHuman
TargetMSLN
Overview
- SupplierBoster Bio
- Product NameAnti-Mesothelin/MSLN Antibody Picoband(r)
- Delivery Days Customer9
- Application Supplier NoteWB: The detection limit for Mesothelin is approximately 0.1ng/lane under reducing conditions. Tested Species: In-house tested species with positive results. By Heat: Boiling the paraffin sections in 10mM citrate buffer, pH6.0, for 20mins is required for the staining of formalin/paraffin sections. Other applications have not been tested. Optimal dilutions should be determined by end users.
- ApplicationsFlow Cytometry, Western Blot, ELISA, ImmunoCytoChemistry, ImmunoHistoChemistry, ImmunoHistoChemistry Frozen
- CertificationResearch Use Only
- ClonalityPolyclonal
- Concentration500 ug/ml
- Gene ID10232
- Target nameMSLN
- Target descriptionmesothelin
- Target synonymsMPF, SMRP, mesothelin, CAK1 antigen, megakaryocyte potentiating factor, pre-pro-megakaryocyte-potentiating factor, soluble MPF mesothelin related protein
- HostRabbit
- IsotypeIgG
- Protein IDQ13421
- Protein NameMesothelin
- Scientific DescriptionBoster Bio Anti-Mesothelin/MSLN Antibody Picoband® catalog # PB9287. Tested in ELISA, Flow Cytometry, IHC, IHC-F, ICC, WB applications. This antibody reacts with Human. The brand Picoband indicates this is a premium antibody that guarantees superior quality, high affinity, and strong signals with minimal background in Western blot applications. Only our best-performing antibodies are designated as Picoband, ensuring unmatched performance.
- ReactivityHuman
- Storage Instruction-20°C,2°C to 8°C
- UNSPSC12352203









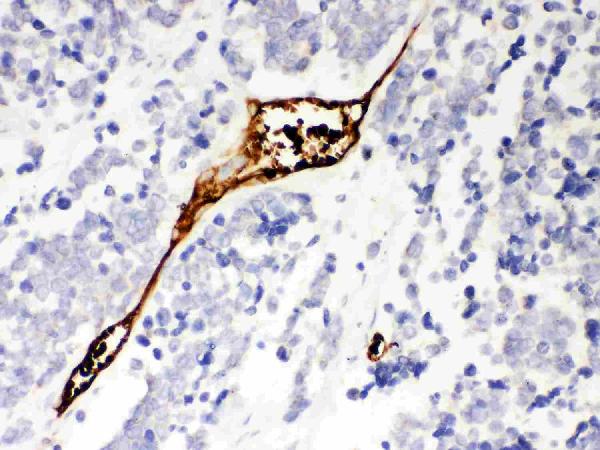
![IHC-P analysis of human breast adenoid cystic carcinoma (ACC) tissue using GTX04373 Mesothelin antibody [MSVA-235M] HistoMAX?. Adenoid cystic breast cancer with strong membranous mesothelin immunostaining in a subset of cells.](https://www.genetex.com/upload/website/prouct_img/normal/GTX04373/GTX04373_20230728_IHC-P_77_23072722_210.webp)

