
Figure 1. Western blot analysis of OGT using anti-OGT antibody (PB9767). Electrophoresis was performed on a 5-20% SDS-PAGE gel at 70V (Stacking gel) / 90V (Resolving gel) for 2-3 hours. The sample well of each lane was loaded with 50ug of sample under reducing conditions. Lane 1: human Hela whole cell lysates, Lane 2: human PC-3 whole cell lysates, Lane 3: human A431 whole cell lysates, Lane 4: human A549 whole cell lysates, Lane 5: human Caco-2 whole cell lysates, Lane 6: human K562 whole cell lysates, Lane 7: rat heart tissue lysates, Lane 8: mouse heart tissue lysates. After Electrophoresis, proteins were transferred to a Nitrocellulose membrane at 150mA for 50-90 minutes. Blocked the membrane with 5% Non-fat Milk/ TBS for 1.5 hour at RT. The membrane was incubated with rabbit anti-OGT antigen affinity purified polyclonal antibody (Catalog # PB9767) at 0.5 microg/mL overnight at 4°C, then washed with TBS-0.1%Tween 3 times with 5 minutes each and probed with a goat anti-rabbit IgG-HRP secondary antibody at a dilution of 1:10000 for 1.5 hour at RT. The signal is developed using an Enhanced Chemiluminescent detection (ECL) kit (Catalog # EK1002) with Tanon 5200 system. A specific band was detected for OGT at approximately 117KD. The expected band size for OGT is at 117KD.
Anti-OGT/O-Linked N-Acetylglucosamine Transferase Antibody Picoband(r)
PB9767-CARRIER-FREE
ApplicationsFlow Cytometry, ImmunoFluorescence, Western Blot, ImmunoCytoChemistry, ImmunoHistoChemistry
Product group Antibodies
ReactivityBovine, Equine, Human, Monkey, Mouse, Rabbit, Rat
TargetOGT
Overview
- SupplierBoster Bio
- Product NameAnti-OGT/O-Linked N-Acetylglucosamine Transferase Antibody Picoband(r)
- Delivery Days Customer9
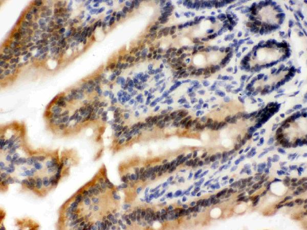
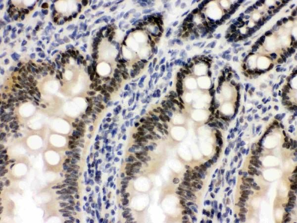
- Application Supplier NoteTested Species: In-house tested species with positive results. Predicted Species: Species predicted to be fit for the product based on sequence similarities. By Heat: Boiling the paraffin sections in 10mM citrate buffer, pH6.0, for 20mins is required for the staining of formalin/paraffin sections. Other applications have not been tested. Optimal dilutions should be determined by end users.
- ApplicationsFlow Cytometry, ImmunoFluorescence, Western Blot, ImmunoCytoChemistry, ImmunoHistoChemistry
- CertificationResearch Use Only
- ClonalityPolyclonal
- Concentration500 ug/ml
- Gene ID8473
- Target nameOGT
- Target descriptionO-linked N-acetylglucosamine (GlcNAc) transferase
- Target synonymsHINCUT-1, HRNT1, MRX106, O-GLCNAC, OGT1, XLID106, UDP-N-acetylglucosamine--peptide N-acetylglucosaminyltransferase 110 kDa subunit, O-GlcNAc transferase p110 subunit, O-GlcNAc transferase subunit p110, O-linked N-acetylglucosamine (GlcNAc) transferase (UDP-N-acetylglucosamine:polypeptide-N-acetylglucosaminyl transferase), O-linked N-acetylglucosamine transferase 110 kDa subunit, UDP-N-acetylglucosamine:polypeptide-N-acetylglucosaminyl transferase, uridinediphospho-N-acetylglucosamine:polypeptide beta-N-acetylglucosaminyl transferase
- HostRabbit
- IsotypeIgG
- Protein IDO15294
- Protein NameUDP-N-acetylglucosamine--peptide N-acetylglucosaminyltransferase 110 kDa subunit
- Scientific DescriptionBoster Bio Anti-OGT/O-Linked N-Acetylglucosamine Transferase Antibody Picoband® catalog # PB9767. Tested in Flow Cytometry, IF, IHC, ICC, WB applications. This antibody reacts with Human, Mouse, Rat. The brand Picoband indicates this is a premium antibody that guarantees superior quality, high affinity, and strong signals with minimal background in Western blot applications. Only our best-performing antibodies are designated as Picoband, ensuring unmatched performance.
- ReactivityBovine, Equine, Human, Monkey, Mouse, Rabbit, Rat
- Storage Instruction-20°C,2°C to 8°C
- UNSPSC12352203














