
Anti-RBP3 Antibody
A40023
ApplicationsImmunoFluorescence, Western Blot
Product group Antibodies
ReactivityHuman
Overview
- SupplierAntibodies.com
- Product NameAnti-RBP3 Antibody
- Delivery Days Customer7
- ApplicationsImmunoFluorescence, Western Blot
- CertificationResearch Use Only
- ClonalityPolyclonal
- Concentration1.0 mg/ml
- ConjugateUnconjugated
- HostRabbit
- Scientific DescriptionRabbit polyclonal antibody to RBP3
- ReactivityHuman
- UNSPSC12352203




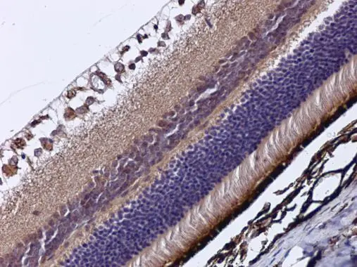
![RBP3 antibody [C2C3], C-term detects RBP3 protein at cytoplasm in mouse eye by immunohistochemical analysis. Sample: Paraffin-embedded mouse eye. RBP3 antibody [C2C3], C-term (GTX114714) diluted at 1:500.
Antigen Retrieval: Citrate buffer, pH 6.0, 15 min](https://www.genetex.com/upload/website/prouct_img/normal/GTX114714/GTX114714_40219_20160118_IHC-P_M_w_23060518_237.webp)