
Immunohistochemical staining of human colon, kidney, liver and testis using Anti-RSL24D1 antibody HPA063392 (A) shows similar protein distribution across tissues to independent antibody HPA062724 (B).
Anti-RSL24D1 Antibody
HPA063392
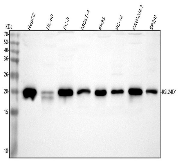
ApplicationsWestern Blot, ImmunoCytoChemistry, ImmunoHistoChemistry
Product group Antibodies
ReactivityHuman
TargetRSL24D1
Overview
- SupplierAtlas Antibodies
- Product NameAnti-RSL24D1 Antibody
- Delivery Days Customer4
- ApplicationsWestern Blot, ImmunoCytoChemistry, ImmunoHistoChemistry
- CertificationResearch Use Only
- ClonalityPolyclonal
- ConjugateUnconjugated
- Gene ID51187
- Target nameRSL24D1
- Target descriptionribosomal L24 domain containing 1
- Target synonymsC15orf15, HRP-L30-iso, L30, RLP24, RPL24, RPL24L, TVAS3, probable ribosome biogenesis protein RLP24, 60S ribosomal protein L30 isolog, homolog of yeast ribosomal like protein 24, my024 protein, ribosomal L24 domain-containing protein 1
- HostRabbit
- IsotypeIgG
- Protein IDQ9UHA3
- Protein NameProbable ribosome biogenesis protein RLP24
- Scientific DescriptionRecombinant Protein Epitope Signature Tag (PrEST) antigen sequence
- ReactivityHuman
- Storage Instruction-20°C,2°C to 8°C
- UNSPSC41116161





