
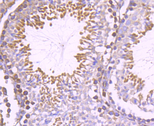
Immunohistochemical staining of human testis shows strong cytoplasmic positivity in seminiferous ducts cells.
Anti-RTN4 Antibody
HPA023977
ApplicationsImmunoCytoChemistry, ImmunoHistoChemistry
Product group Antibodies
ReactivityHuman
TargetRTN4
Overview
- SupplierAtlas Antibodies
- Product NameAnti-RTN4 Antibody
- Delivery Days Customer4
- ApplicationsImmunoCytoChemistry, ImmunoHistoChemistry
- CertificationResearch Use Only
- ClonalityPolyclonal
- ConjugateUnconjugated
- Gene ID57142
- Target nameRTN4
- Target descriptionreticulon 4
- Target synonymsASY, NI220/250, NOGO, NOGOA, NOGOB, NSP, NSP-CL, Nbla00271, Nbla10545, RTN-X, RTN4-A, RTN4-B1, RTN4-B2, RTN4-C, reticulon-4, Human NogoA, My043 protein, foocen, neurite growth inhibitor 220, neurite outgrowth inhibitor, neuroendocrine-specific protein C homolog, reticulon 5
- HostRabbit
- IsotypeIgG
- Protein IDQ9NQC3
- Protein NameReticulon-4
- Scientific DescriptionRecombinant Protein Epitope Signature Tag (PrEST) antigen sequence
- ReactivityHuman
- Storage Instruction-20°C,2°C to 8°C
- UNSPSC41116161






