
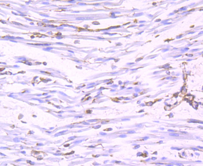
Paraformaldehyde-fixed, paraffin embedded Mouse testis; Antigen retrieval by boiling in sodium citrate buffer (pH6.0) for 15min; Block endogenous peroxidase by 3% hydrogen peroxide for 20 minutes; Blocking buffer (normal goat serum) at 37°C for 30min; Antibody incubation with Nogo Monoclonal Antibody, Unconjugated (bsm-54643R) at 1:200 for 30 minutes at room temperature, DAB staining.
Nogo-A Recombinant Antibody
BSM-54643R
ApplicationsFlow Cytometry, ImmunoFluorescence, ImmunoPrecipitation, Western Blot, ImmunoCytoChemistry, ImmunoHistoChemistry, ImmunoHistoChemistry Paraffin
Product group Antibodies
ReactivityHuman, Mouse
TargetRTN4
Overview
- SupplierBioss
- Product NameNogo-A Recombinant Antibody
- Delivery Days Customer16
- ApplicationsFlow Cytometry, ImmunoFluorescence, ImmunoPrecipitation, Western Blot, ImmunoCytoChemistry, ImmunoHistoChemistry, ImmunoHistoChemistry Paraffin
- Applications SupplierWB(1:300-5000), FCM(1:20-100), IHC-P(1:200-400), IF(ICC)(1:50-200), IP(1-2ug), IHC()
- CertificationResearch Use Only
- ClonalityMonoclonal
- Concentration1 ug/ul
- ConjugateUnconjugated
- Gene ID57142
- Target nameRTN4
- Target descriptionreticulon 4
- Target synonymsASY, NI220/250, NOGO, NOGOA, NOGOB, NSP, NSP-CL, Nbla00271, Nbla10545, RTN-X, RTN4-A, RTN4-B1, RTN4-B2, RTN4-C, reticulon-4, Human NogoA, My043 protein, foocen, neurite growth inhibitor 220, neurite outgrowth inhibitor, neuroendocrine-specific protein C homolog, reticulon 5
- HostRabbit
- IsotypeIgG
- Protein IDQ9NQC3
- Protein NameReticulon-4
- ReactivityHuman, Mouse
- Storage Instruction-20°C
- UNSPSC41116161












