
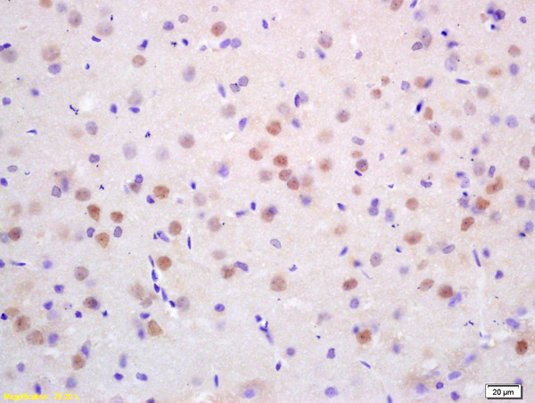
Immunohistochemistry analysis in human cerebral cortex and skeletal muscle tissues using HPA029524 antibody. Corresponding SEPT7 RNA-seq data are presented for the same tissues.
Anti-SEPT7 Antibody
HPA029524
ApplicationsWestern Blot, ImmunoCytoChemistry, ImmunoHistoChemistry
Product group Antibodies
ReactivityHuman, Mouse, Rat
TargetSEPTIN7
Overview
- SupplierAtlas Antibodies
- Product NameAnti-SEPT7 Antibody
- Delivery Days Customer4
- ApplicationsWestern Blot, ImmunoCytoChemistry, ImmunoHistoChemistry
- CertificationResearch Use Only
- ClonalityPolyclonal
- ConjugateUnconjugated
- Gene ID989
- Target nameSEPTIN7
- Target descriptionseptin 7
- Target synonymsCDC10, CDC3, NBLA02942, SEPT7, SEPT7A, Septin-7, septin-7, CDC10 (cell division cycle 10, S. cerevisiae, homolog), CDC10 protein homolog
- HostRabbit
- IsotypeIgG
- Protein IDQ16181
- Protein NameSeptin-7
- Scientific DescriptionRecombinant Protein Epitope Signature Tag (PrEST) antigen sequence
- ReactivityHuman, Mouse, Rat
- Storage Instruction-20°C,2°C to 8°C
- UNSPSC41116161





