
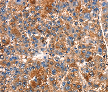
Immunohistochemical staining of human stomach shows strong cytoplasmic-membranous positivity in glandular cells.
Anti-SMURF1 Antibody
HPA055245
ApplicationsImmunoHistoChemistry
Product group Antibodies
ReactivityHuman
TargetSMURF1
Overview
- SupplierAtlas Antibodies
- Product NameAnti-SMURF1 Antibody
- Delivery Days Customer4
- ApplicationsImmunoHistoChemistry
- CertificationResearch Use Only
- ClonalityPolyclonal
- ConjugateUnconjugated
- Gene ID57154
- Target nameSMURF1
- Target descriptionSMAD specific E3 ubiquitin protein ligase 1
- Target synonymsE3 ubiquitin-protein ligase SMURF1, E3 ubiquitin ligase SMURF1, HECT-type E3 ubiquitin transferase SMURF1, Smad ubiquitination regulatory factor 1, Smad-specific E3 ubiquitin ligase 1, hSMURF1
- HostRabbit
- IsotypeIgG
- Protein IDQ9HCE7
- Protein NameE3 ubiquitin-protein ligase SMURF1
- Scientific DescriptionRecombinant Protein Epitope Signature Tag (PrEST) antigen sequence
- ReactivityHuman
- Storage Instruction-20°C,2°C to 8°C
- UNSPSC41116161





