
Anti-ULBP1 Antibody
A8629
ApplicationsWestern Blot, ImmunoHistoChemistry
Product group Antibodies
ReactivityHuman, Mouse
Overview
- SupplierAntibodies.com
- Product NameAnti-ULBP1 Antibody
- Delivery Days Customer7
- ApplicationsWestern Blot, ImmunoHistoChemistry
- CertificationResearch Use Only
- ClonalityPolyclonal
- ConjugateUnconjugated
- HostRabbit
- IsotypeIgG
- Scientific DescriptionRabbit polyclonal antibody to ULBP1.
- ReactivityHuman, Mouse
- UNSPSC12352203



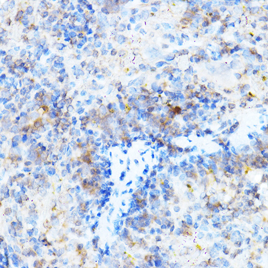
![ULBP1 antibody [N1C3] detects ULBP1 protein at cytoplasm by immunohistochemical analysis. Sample: Paraffin-embedded human cervical carcinoma. ULBP1 stained by ULBP1 antibody [N1C3] (GTX123021) diluted at 1:500. Antigen Retrieval: Citrate buffer, pH 6.0, 15 min](https://www.genetex.com/upload/website/prouct_img/normal/GTX123021/GTX123021_40625_20210507_IHC-P_w_23060522_728.webp)



