
Figure 1. Western blot analysis of VPAC2/VIPR2 using anti-VPAC2/VIPR2 antibody (A03768-1). Electrophoresis was performed on a 5-20% SDS-PAGE gel at 70V (Stacking gel) / 90V (Resolving gel) for 2-3 hours. The sample well of each lane was loaded with 30 ug of sample under reducing conditions. Lane 1: monkey COS-7 whole cell lysates, Lane 2: human MOLT-4 whole cell lysates. After electrophoresis, proteins were transferred to a nitrocellulose membrane at 150 mA for 50-90 minutes. Blocked the membrane with 5% non-fat milk/TBS for 1.5 hour at RT. The membrane was incubated with rabbit anti-VPAC2/VIPR2 antigen affinity purified polyclonal antibody (Catalog # A03768-1) at 0.5 microg/mL overnight at 4°C, then washed with TBS-0.1%Tween 3 times with 5 minutes each and probed with a goat anti-rabbit IgG-HRP secondary antibody at a dilution of 1:5000 for 1.5 hour at RT. The signal is developed using an Enhanced Chemiluminescent detection (ECL) kit (Catalog # EK1002) with Tanon 5200 system. A specific band was detected for VPAC2/VIPR2 at approximately 49 kDa. The expected band size for VPAC2/VIPR2 is at 49 kDa.
Anti-VPAC2/VIPR2 Antibody Picoband(r)
A03768-1-CARRIER-FREE
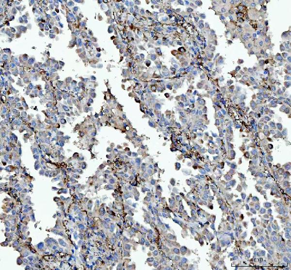
ApplicationsWestern Blot, ImmunoHistoChemistry
Product group Antibodies
ReactivityHuman, Monkey
TargetVIPR2
Overview
- SupplierBoster Bio
- Product NameAnti-VPAC2/VIPR2 Antibody Picoband(r)
- Delivery Days Customer9
- ApplicationsWestern Blot, ImmunoHistoChemistry
- CertificationResearch Use Only
- ClonalityPolyclonal
- Concentration500 ug/ml
- Gene ID7434
- Target nameVIPR2
- Target descriptionvasoactive intestinal peptide receptor 2
- Target synonymsC16DUPq36.3, DUP7q36.3, PACAP-R-3, PACAP-R3, VIP-R-2, VPAC2, VPAC2R, VPCAP2R, vasoactive intestinal polypeptide receptor 2, PACAP type III receptor, VIP and PACAP receptor 2, VPAC2 receptor, helodermin-preferring VIP receptor, pituitary adenylate cyclase-activating polypeptide type III receptor
- HostRabbit
- IsotypeIgG
- Protein IDP41587
- Protein NameVasoactive intestinal polypeptide receptor 2
- Scientific DescriptionBoster Bio Anti-VPAC2/VIPR2 Antibody Picoband® catalog # A03768-1. Tested in IHC, WB applications. This antibody reacts with Human, Monkey. The brand Picoband indicates this is a premium antibody that guarantees superior quality, high affinity, and strong signals with minimal background in Western blot applications. Only our best-performing antibodies are designated as Picoband, ensuring unmatched performance.
- ReactivityHuman, Monkey
- Storage Instruction-20°C,2°C to 8°C
- UNSPSC12352203








![Non-transfected (–) and transfected (+) boiled and unboiled 293T whole cell extracts (30 μg) were separated by 10% SDS-PAGE, and the membrane was blotted with VPAC2 antibody [HL3625] (GTX641600) diluted at 1:5000. The HRP-conjugated anti-rabbit IgG antibody (GTX213110-01) was used to detect the primary antibody.](https://www.genetex.com/upload/website/prouct_img/normal/GTX641600/GTX641600_T-45635_20241227_WB_B_ub_24123021_195.webp)