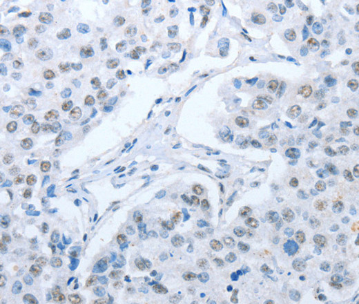
Immunohistochemistry of paraffin-embedded Human breast cancer tissue using ARHGEF2 Polyclonal Antibody at dilution 1:30
ARHGEF2 Polyclonal Antibody
E-AB-14606
Product group Antibodies
Overview
- SupplierElabscience
- Product NameARHGEF2 Polyclonal Antibody
- Delivery Days Customer12
- Applications SupplierELISA IHC
- CertificationResearch Use Only
- Concentration0.2mg/ml
- Scientific DescriptionRho GTPases play a fundamental role in numerous cellular processes that are initiated by extracellular stimuli that work through G protein coupled receptors. The encoded protein may form complex with G proteins and stimulate rho-dependent signals. Alternatively spliced transcript variants encoding different isoforms have been identified.
- UNSPSC12352203






