
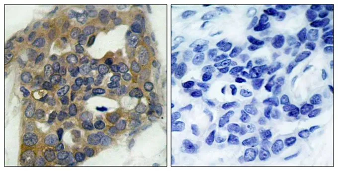
IHC-P analysis of human breast carcinoma tissue using GTX50229 ASK1 (phospho Ser966) antibody. Left : Primary antibody Right : Primary antibody pre-incubated with the antigen specific peptide
ASK1 (phospho Ser966) antibody
GTX50229
ApplicationsWestern Blot, ImmunoHistoChemistry, ImmunoHistoChemistry Paraffin
Product group Antibodies
ReactivityHuman, Monkey, Mouse
TargetMAP3K5
Overview
- SupplierGeneTex
- Product NameASK1 (phospho Ser966) antibody
- Delivery Days Customer9
- Application Supplier NoteWB: 1:500-1:1000. IHC-P: 1:50-1:100. *Optimal dilutions/concentrations should be determined by the researcher.Not tested in other applications.
- ApplicationsWestern Blot, ImmunoHistoChemistry, ImmunoHistoChemistry Paraffin
- CertificationResearch Use Only
- ClonalityPolyclonal
- Concentration1 mg/ml
- ConjugateUnconjugated
- Gene ID4217
- Target nameMAP3K5
- Target descriptionmitogen-activated protein kinase kinase kinase 5
- Target synonymsASK1, MAPKKK5, MEKK5, mitogen-activated protein kinase kinase kinase 5, ASK-1, MAP/ERK kinase kinase 5, MAPK/ERK kinase kinase 5, MEK kinase 5, MEKK 5, apoptosis signal-regulating kinase 1
- HostRabbit
- IsotypeIgG
- Protein IDQ99683
- Protein NameMitogen-activated protein kinase kinase kinase 5
- Scientific DescriptionMitogen-activated protein kinase (MAPK) signaling cascades include MAPK or extracellular signal-regulated kinase (ERK), MAPK kinase (MKK or MEK), and MAPK kinase kinase (MAPKKK or MEKK). MAPKK kinase/MEKK phosphorylates and activates its downstream protein kinase, MAPK kinase/MEK, which in turn activates MAPK. The kinases of these signaling cascades are highly conserved, and homologs exist in yeast, Drosophila, and mammalian cells. MAPKKK5 contains 1,374 amino acids with all 11 kinase subdomains. Northern blot analysis shows that MAPKKK5 transcript is abundantly expressed in human heart and pancreas. The MAPKKK5 protein phosphorylates and activates MKK4 (aliases SERK1, MAPKK4) in vitro, and activates c-Jun N-terminal kinase (JNK)/stress-activated protein kinase (SAPK) during transient expression in COS and 293 cells; MAPKKK5 does not activate MAPK/ERK. [provided by RefSeq, Jul 2008]
- ReactivityHuman, Monkey, Mouse
- Storage Instruction-20°C or -80°C,2°C to 8°C
- UNSPSC41116161
References
- Peroxiredoxin 1 has an anti-apoptotic role via apoptosis signal-regulating kinase 1 and p38 activation in mouse models with oral precancerous lesions. Zhang J et al., 2016 Jul, Oncol LettRead this paper








