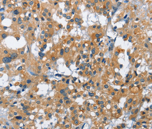
Immunohistochemistry of paraffin-embedded Human thyroid cancer tissue using CREB2 Polyclonal Antibody at dilution 1:40
CREB2 Polyclonal Antibody
E-AB-10176
ApplicationsImmunoHistoChemistry
Product group Antibodies
TargetATF4
Overview
- SupplierElabscience
- Product NameCREB2 Polyclonal Antibody
- Delivery Days Customer12
- ApplicationsImmunoHistoChemistry
- Applications SupplierELISA IHC
- CertificationResearch Use Only
- ClonalityPolyclonal
- Concentration0.3 mg/ml
- ConjugateUnconjugated
- Gene ID468
- Target nameATF4
- Target descriptionactivating transcription factor 4
- Target synonymsCREB-2, CREB2, TAXREB67, TXREB, cyclic AMP-dependent transcription factor ATF-4, DNA-binding protein TAXREB67, cAMP response element-binding protein 2, cAMP-dependent transcription factor ATF-4, cAMP-responsive element-binding protein 2, cyclic AMP-responsive element-binding protein 2, tax-responsive enhancer element B67, tax-responsive enhancer element-binding protein 67
- HostRabbit
- IsotypeIgG
- Protein IDP18848
- Protein NameCyclic AMP-dependent transcription factor ATF-4
- Scientific DescriptionThis gene encodes a transcription factor that was originally identified as a widely expressed mammalian DNA binding protein that could bind a tax-responsive enhancer element in the LTR of HTLV-1. The encoded protein was also isolated and characterized as the cAMP-response element binding protein 2 (CREB-2). The protein encoded by this gene belongs to a family of DNA-binding proteins that includes the AP-1 family of transcription factors, cAMP-response element binding proteins (CREBs) and CREB-like proteins. These transcription factors share a leucine zipper region that is involved in protein-protein interactions, located C-terminal to a stretch of basic amino acids that functions as a DNA binding domain.
- Storage Instruction-20°C
- UNSPSC41116161







