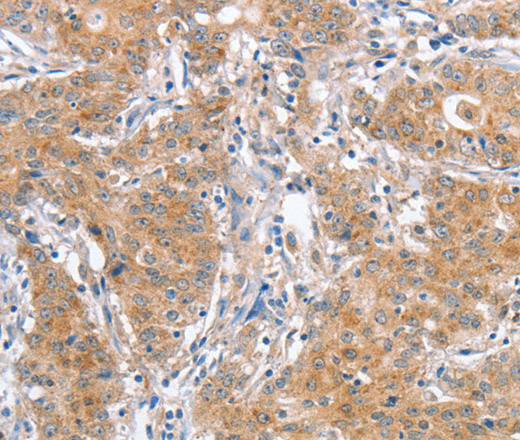
Immunohistochemistry of paraffin-embedded Human gasrtic cancer tissue using ATG12 Polyclonal Antibody at dilution 1:40
ATG12 Polyclonal Antibody
E-AB-14584
Product group Antibodies
Overview
- SupplierElabscience
- Product NameATG12 Polyclonal Antibody
- Delivery Days Customer12
- Applications SupplierELISA IHC
- CertificationResearch Use Only
- Concentration0.3mg/ml
- Scientific DescriptionAutophagy is a process of bulk protein degradation in which cytoplasmic components, including organelles, are enclosed in double-membrane structures called autophagosomes and delivered to lysosomes or vacuoles for degradation. ATG12 is the human homolog of a yeast protein involved in autophagy.
- UNSPSC12352203





