
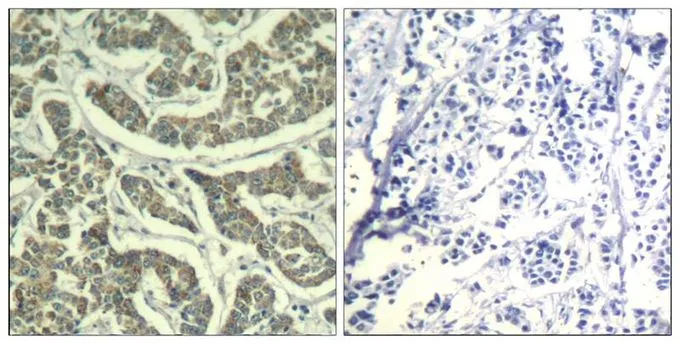
IHC-P analysis of human breast carcinoma tissue using GTX50649 ATR antibody. Left : Primary antibody Right : Primary antibody pre-incubated with the antigen specific peptide
ATR antibody
GTX50649
ApplicationsImmunoHistoChemistry, ImmunoHistoChemistry Paraffin
Product group Antibodies
ReactivityHuman
TargetATR
Overview
- SupplierGeneTex
- Product NameATR antibody
- Delivery Days Customer9
- Application Supplier NoteIHC-P: 1:50-1:100. *Optimal dilutions/concentrations should be determined by the researcher.Not tested in other applications.
- ApplicationsImmunoHistoChemistry, ImmunoHistoChemistry Paraffin
- CertificationResearch Use Only
- ClonalityPolyclonal
- Concentration1 mg/ml
- ConjugateUnconjugated
- Gene ID545
- Target nameATR
- Target descriptionATR checkpoint kinase
- Target synonymsFCTCS, FRP1, MEC1, SCKL, SCKL1, serine/threonine-protein kinase ATR, ATR serine/threonine kinase, FRAP-related protein-1, MEC1, mitosis entry checkpoint 1, homolog, ataxia telangiectasia and Rad3-related protein
- HostRabbit
- IsotypeIgG
- Protein IDQ13535
- Protein NameSerine/threonine-protein kinase ATR
- Scientific DescriptionThe protein encoded by this gene is a serine/threonine kinase and DNA damage sensor, activating cell cycle checkpoint signaling upon DNA stress. The encoded protein can phosphorylate and activate several proteins involved in the inhibition of DNA replication and mitosis, and can promote DNA repair, recombination, and apoptosis. This protein is also important for fragile site stability and centrosome duplication. Defects in this gene are a cause of Seckel syndrome 1. [provided by RefSeq, Aug 2017]
- ReactivityHuman
- Storage Instruction-20°C or -80°C,2°C to 8°C
- UNSPSC12352203



![Untreated (–) and treated (+) mouse tissue extract (50 μg) were separated by 5% SDS-PAGE, and the membrane was blotted with ATR (phospho Ser428) antibody [HL3246] (GTX640889) diluted at 1:2500. The HRP-conjugated anti-rabbit IgG antibody (GTX213110-01) was used to detect the primary antibody.](https://www.genetex.com/upload/website/prouct_img/normal/GTX640889/GTX640889_T-45516_20241004_WB_M_treatment_CIP_24100900_134.webp)
