
Various tissue extracts (50 μg) were separated by 10% SDS-PAGE, and the membrane was blotted with BACE1 antibody (GTX134480) diluted at 1:1000. The HRP-conjugated anti-rabbit IgG antibody (GTX213110-01) was used to detect the primary antibody.
BACE1 antibody
GTX134480
ApplicationsImmunoFluorescence, Western Blot, ImmunoCytoChemistry, ImmunoHistoChemistry, ImmunoHistoChemistry Paraffin
Product group Antibodies
ReactivityHuman, Mouse, Rat
TargetBACE1
Overview
- SupplierGeneTex
- Product NameBACE1 antibody
- Delivery Days Customer9
- Application Supplier NoteWB: 1:500-1:3000. *Optimal dilutions/concentrations should be determined by the researcher.Not tested in other applications.
- ApplicationsImmunoFluorescence, Western Blot, ImmunoCytoChemistry, ImmunoHistoChemistry, ImmunoHistoChemistry Paraffin
- CertificationResearch Use Only
- ClonalityPolyclonal
- Concentration1.85 mg/ml
- ConjugateUnconjugated
- Gene ID23621
- Target nameBACE1
- Target descriptionbeta-secretase 1
- Target synonymsASP2, BACE, HSPC104, beta-secretase 1, APP beta-secretase, asp 2, aspartyl protease 2, beta-site APP cleaving enzyme 1, beta-site APP-cleaving enzyme, beta-site amyloid beta A4 precursor protein-cleaving enzyme, memapsin-2, membrane-associated aspartic protease 2, transmembrane aspartic proteinase Asp2
- HostRabbit
- IsotypeIgG
- Protein IDP56817
- Protein NameBeta-secretase 1
- Scientific DescriptionThis gene encodes a member of the peptidase A1 family of aspartic proteases. Alternative splicing results in multiple transcript variants, at least one of which encodes a preproprotein that is proteolytically processed to generate the mature protease. This transmembrane protease catalyzes the first step in the formation of amyloid beta peptide from amyloid precursor protein. Amyloid beta peptides are the main constituent of amyloid beta plaques, which accumulate in the brains of human Alzheimers disease patients. [provided by RefSeq, Nov 2015]
- ReactivityHuman, Mouse, Rat
- Storage Instruction-20°C or -80°C,2°C to 8°C
- UNSPSC41116161
![BACE1 antibody detects BACE1 protein by immunofluorescent analysis. Sample: DIV10 rat E18 primary hippocampal neuron cells were fixed in 4% paraformaldehyde at RT for 15 min. Green: BACE1 stained by BACE1 antibody (GTX134480) diluted at 1:500. Red: Tau, stained by Tau antibody [GT287] (GTX634809) diluted at 1:500. Blue: Fluoroshield with DAPI (GTX30920). BACE1 antibody detects BACE1 protein by immunofluorescent analysis. Sample: DIV10 rat E18 primary hippocampal neuron cells were fixed in 4% paraformaldehyde at RT for 15 min. Green: BACE1 stained by BACE1 antibody (GTX134480) diluted at 1:500. Red: Tau, stained by Tau antibody [GT287] (GTX634809) diluted at 1:500. Blue: Fluoroshield with DAPI (GTX30920).](https://www.genetex.com/upload/website/prouct_img/normal/GTX134480/GTX134480_43971_20200820_ICC_IF_R_w_23060620_225.webp)







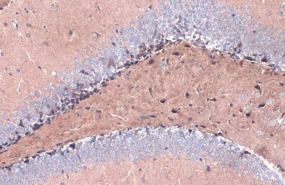
![BACE1 antibody [N1C2] detects BACE1 protein at cytoplasm by immunohistochemical analysis. Sample: Paraffin-embedded mouse hippocampus. BACE1 stained by BACE1 antibody [N1C2] (GTX103757) diluted at 1:500. Antigen Retrieval: Citrate buffer, pH 6.0, 15 min](https://www.genetex.com/upload/website/prouct_img/normal/GTX103757/GTX103757_44055_20200918_IHC-P_M_w_23060119_307.webp)