
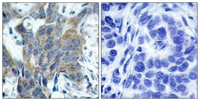
IHC-P analysis of human breast carcinoma tissue using GTX50255 beta Catenin (phospho Ser33) antibody. Left : Primary antibody Right : Primary antibody pre-incubated with the antigen specific peptide
beta Catenin (phospho Ser33) antibody
GTX50255
ApplicationsWestern Blot, ImmunoHistoChemistry, ImmunoHistoChemistry Paraffin
Product group Antibodies
ReactivityHuman
TargetCTNNB1
Overview
- SupplierGeneTex
- Product Namebeta Catenin (phospho Ser33) antibody
- Delivery Days Customer9
- Application Supplier NoteWB: 1:500-1:1000. IHC-P: 1:50-1:100. *Optimal dilutions/concentrations should be determined by the researcher.Not tested in other applications.
- ApplicationsWestern Blot, ImmunoHistoChemistry, ImmunoHistoChemistry Paraffin
- CertificationResearch Use Only
- ClonalityPolyclonal
- Concentration1 mg/ml
- ConjugateUnconjugated
- Gene ID1499
- Target nameCTNNB1
- Target descriptioncatenin beta 1
- Target synonymsCTNNB, EVR7, MRD19, NEDSDV, armadillo, catenin beta-1, catenin (cadherin-associated protein), beta 1, 88kDa
- HostRabbit
- IsotypeIgG
- Protein IDP35222
- Protein NameCatenin beta-1
- Scientific DescriptionThe protein encoded by this gene is part of a complex of proteins that constitute adherens junctions (AJs). AJs are necessary for the creation and maintenance of epithelial cell layers by regulating cell growth and adhesion between cells. The encoded protein also anchors the actin cytoskeleton and may be responsible for transmitting the contact inhibition signal that causes cells to stop dividing once the epithelial sheet is complete. Finally, this protein binds to the product of the APC gene, which is mutated in adenomatous polyposis of the colon. Mutations in this gene are a cause of colorectal cancer (CRC), pilomatrixoma (PTR), medulloblastoma (MDB), and ovarian cancer. Alternative splicing results in multiple transcript variants. [provided by RefSeq, Aug 2016]
- ReactivityHuman
- Storage Instruction-20°C or -80°C,2°C to 8°C
- UNSPSC12352203
References
- Simonetta KR, Taygerly J, Boyle K, et al. Prospective discovery of small molecule enhancers of an E3 ligase-substrate interaction. Nat Commun. 2019,10(1):1402. doi: 10.1038/s41467-019-09358-9Read this paper









![ICC/IF analysis of HT29 cells using GTX80159 beta Catenin antibody [EM-22]. Green : Primary antibody Blue : DAPI](https://www.genetex.com/upload/website/prouct_img/normal/GTX80159/GTX80159_20191028_ICC-IF_1_w_23061322_986.webp)
![WB analysis of whole cell extracts (30 microg lysate) of HeLa (Lane 1), U-87 MG (Lane 2), COLO 205 (Lane 3), HCT 116 (lane 4), HT-29 (lane 5), MCF7 (lane 6), MDA-MB-231 (lane 7) and A549 (lane 8) using GTX80686 beta Catenin antibody [9F2]. Dilution : 1-3 microg/ml](https://www.genetex.com/upload/website/prouct_img/normal/GTX80686/GTX80686_1951_WB_w_23061322_182.webp)
![FACS analysis of A549 cells using GTX83185 beta Catenin antibody [4D5]. Green : beta Catenin Purple : negative control](https://www.genetex.com/upload/website/prouct_img/normal/GTX83185/GTX83185_20170912_FACS_w_23061322_232.webp)
![IHC-P analysis of human lung tissue using GTX84650 beta Catenin antibody [1F3]. Antigen retrieval : Heat-induced epitope retrieval by 10mM citrate buffer, pH6.0, 100oC for 10min.](https://www.genetex.com/upload/website/prouct_img/normal/GTX84650/GTX84650_2979_IHC-P_w_23061420_370.webp)