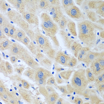
Immunohistochemistry of paraffin-embedded Human liver cancer using BLVRB Polyclonal Antibody at dilution of 1:100 (40x lens).
BLVRB Polyclonal Antibody
E-AB-61605
Product group Antibodies
Overview
- SupplierElabscience
- Product NameBLVRB Polyclonal Antibody
- Delivery Days Customer12
- CertificationResearch Use Only
- Scientific DescriptionThe final step in heme metabolism in mammals is catalyzed by the cytosolic biliverdin reductase enzymes A and B (EC 1.3.1.24).
- UNSPSC12352203





