
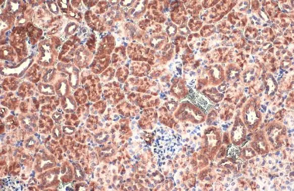
BNIP3L antibody detects BNIP3L protein at cytoplasm by immunohistochemical analysis. Sample: Paraffin-embedded rat kidney. BNIP3L stained by BNIP3L antibody (GTX111876) diluted at 1:500. Antigen Retrieval: Citrate buffer, pH 6.0, 15 min
BNIP3L antibody
GTX111876
ApplicationsImmunoFluorescence, Western Blot, ImmunoCytoChemistry, ImmunoHistoChemistry, ImmunoHistoChemistry Paraffin
Product group Antibodies
ReactivityBovine, Human, Mouse, Rat
TargetBNIP3L
Overview
- SupplierGeneTex
- Product NameBNIP3L antibody
- Delivery Days Customer9
- Application Supplier NoteWB: 1:500-1:3000. ICC/IF: 1:100-1:1000. IHC-P: 1:100-1:1000. *Optimal dilutions/concentrations should be determined by the researcher.Not tested in other applications.
- ApplicationsImmunoFluorescence, Western Blot, ImmunoCytoChemistry, ImmunoHistoChemistry, ImmunoHistoChemistry Paraffin
- CertificationResearch Use Only
- ClonalityPolyclonal
- Concentration1.44 mg/ml
- ConjugateUnconjugated
- Gene ID665
- Target nameBNIP3L
- Target descriptionBCL2 interacting protein 3 like
- Target synonymsBNIP3a, NIP3L, NIX, BCL2/adenovirus E1B 19 kDa protein-interacting protein 3-like, BCL2/adenovirus E1B 19 kDa protein-interacting protein 3A, BCL2/adenovirus E1B 19-kd protein-interacting protein 3a, BCL2/adenovirus E1B 19kDa interacting protein 3 like, NIP-3-like protein X, NIP3-like protein X, adenovirus E1B19k-binding protein B5
- HostRabbit
- IsotypeIgG
- Protein IDO60238
- Protein NameBCL2/adenovirus E1B 19 kDa protein-interacting protein 3-like
- Scientific DescriptionThis gene is a member of the BCL2/adenovirus E1B 19 kd-interacting protein (BNIP) family. It interacts with the E1B 19 kDa protein which is responsible for the protection of virally-induced cell death, as well as E1B 19 kDa-like sequences of BCL2, also an apoptotic protector. The protein encoded by this gene is a functional homolog of BNIP3, a proapoptotic protein. This protein may function simultaneously with BNIP3 and may play a role in tumor suppression. [provided by RefSeq]
- ReactivityBovine, Human, Mouse, Rat
- Storage Instruction-20°C or -80°C,2°C to 8°C
- UNSPSC41116161













![BNIP3L antibody [HL1203] detects BNIP3L protein by immunohistochemical analysis. Sample: Paraffin-embedded mouse tissues. BNIP3L stained by BNIP3L antibody [HL1203] (GTX636515) diluted at 1:100. Antigen Retrieval: Citrate buffer, pH 6.0, 15 min](https://www.genetex.com/upload/website/prouct_img/normal/GTX636515/GTX636515_44501_20221230_IHC-P_multiple_M_22122821_427.webp)
