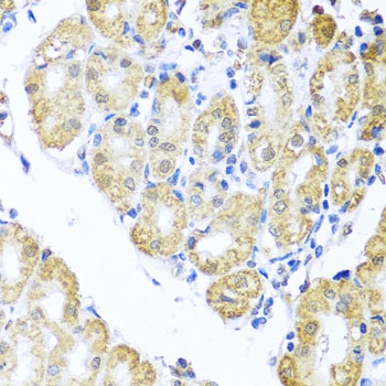
Immunohistochemistry of paraffin-embedded Human stomach using BNIP3L Polyclonal Antibody at dilution of 1:100 (40x lens).
BNIP3L Polyclonal Antibody
E-AB-61182
Product group Antibodies
Overview
- SupplierElabscience
- Product NameBNIP3L Polyclonal Antibody
- Delivery Days Customer12
- CertificationResearch Use Only
- Scientific DescriptionThis gene encodes a protein that belongs to the pro-apoptotic subfamily within the Bcl-2 family of proteins. The encoded protein binds to Bcl-2 and possesses the BH3 domain. The protein directly targets mitochondria and causes apoptotic changes, including loss of membrane potential and the release of cytochrome c.
- UNSPSC12352203






