
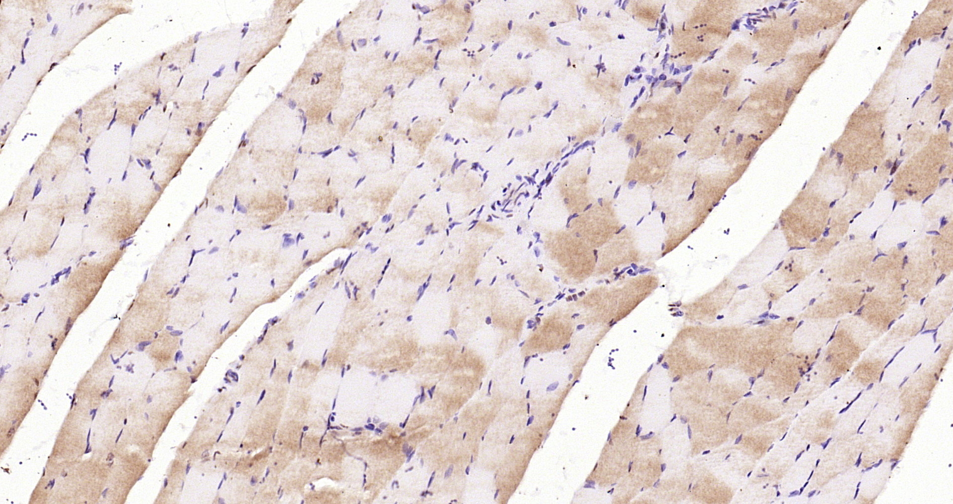
Paraformaldehyde-fixed, paraffin embedded Mouse muscle; Antigen retrieval by boiling in sodium citrate buffer (pH6.0) for 15min; Block endogenous peroxidase by 3% hydrogen peroxide for 20 minutes; Blocking buffer (normal goat serum) at 37°C for 30min; Antibody incubation with CACNA1S Polyclonal Antibody, Unconjugated (bs-9925R) at 1:200 overnight at 4°C, DAB staining.
CACNA1S Polyclonal Antibody
BS-9925R
ApplicationsImmunoFluorescence, ELISA, ImmunoCytoChemistry, ImmunoHistoChemistry, ImmunoHistoChemistry Paraffin
Product group Antibodies
ReactivityBovine, Human, Mouse, Porcine, Rabbit, Rat
TargetCACNA1S
Overview
- SupplierBioss
- Product NameCACNA1S Polyclonal Antibody
- Delivery Days Customer16
- ApplicationsImmunoFluorescence, ELISA, ImmunoCytoChemistry, ImmunoHistoChemistry, ImmunoHistoChemistry Paraffin
- Applications SupplierELISA(1:500-1000), IHC-P(1:200-400), IF(IHC-P)(1:50-200), IF(ICC)(1:50-200)
- CertificationResearch Use Only
- ClonalityPolyclonal
- Concentration1 ug/ul
- ConjugateUnconjugated
- Gene ID779
- Target nameCACNA1S
- Target descriptioncalcium voltage-gated channel subunit alpha1 S
- Target synonymsCACNL1A3, CCHL1A3, CMYO18, CMYP18, Cav1.1, DHPRM, HOKPP, HOKPP1, MHS5, TTPP1, hypoPP, voltage-dependent L-type calcium channel subunit alpha-1S, calcium channel, voltage-dependent, L type, alpha 1S subunit, dihydropyridine receptor alpha 1 subunit, dihydropyridine-sensitive L-type calcium channel alpha-1 subunit, voltage-gated calcium channel subunit alpha Cav1.1
- HostRabbit
- IsotypeIgG
- Protein IDQ13698
- Protein NameVoltage-dependent L-type calcium channel subunit alpha-1S
- ReactivityBovine, Human, Mouse, Porcine, Rabbit, Rat
- Storage Instruction-20°C
- UNSPSC12352203
References
- Lobeck I, Donnelly B, Dupree P, et al. Rhesus rotavirus VP6 regulates ERK-dependent calcium influx in cholangiocytes. Virology. 2016,499:185-195. doi: 10.1016/j.virol.2016.09.014Read this paper






