
Sample (50 ug of whole cell lysate) A: Mouse brain 7.5% SDS PAGE GTX111809 diluted at 1:1000
Calpain 2 antibody [N2C1-2], Internal
GTX111809
ApplicationsWestern Blot, ImmunoHistoChemistry, ImmunoHistoChemistry Paraffin
Product group Antibodies
ReactivityHuman, Mouse
TargetCAPN2
Overview
- SupplierGeneTex
- Product NameCalpain 2 antibody [N2C1-2], Internal
- Delivery Days Customer9
- Application Supplier NoteWB: 1:500-1:3000. IHC-P: 1:100-1:1000. *Optimal dilutions/concentrations should be determined by the researcher.Not tested in other applications.
- ApplicationsWestern Blot, ImmunoHistoChemistry, ImmunoHistoChemistry Paraffin
- CertificationResearch Use Only
- ClonalityPolyclonal
- Concentration0.47 mg/ml
- ConjugateUnconjugated
- Gene ID824
- Target nameCAPN2
- Target descriptioncalpain 2
- Target synonymsCANP2, CANPL2, CANPml, mCANP, calpain-2 catalytic subunit, CANP 2, M-calpain, calcium-activated neutral proteinase 2, calpain 2, (m/II) large subunit, calpain 2, large [catalytic] subunit, calpain 2, large subunit, calpain M-type, calpain, large polypeptide L2, millimolar-calpain
- HostRabbit
- IsotypeIgG
- Protein IDP17655
- Protein NameCalpain-2 catalytic subunit
- Scientific DescriptionThe calpains, calcium-activated neutral proteases, are nonlysosomal, intracellular cysteine proteases. The mammalian calpains include ubiquitous, stomach-specific, and muscle-specific proteins. The ubiquitous enzymes consist of heterodimers with distinct large, catalytic subunits associated with a common small, regulatory subunit. This gene encodes the large subunit of the ubiquitous enzyme, calpain 2. Multiple heterogeneous transcriptional start sites in the 5 UTR have been reported. Two transcript variants encoding different isoforms have been found for this gene. [provided by RefSeq]
- ReactivityHuman, Mouse
- Storage Instruction-20°C or -80°C,2°C to 8°C
- UNSPSC41116161
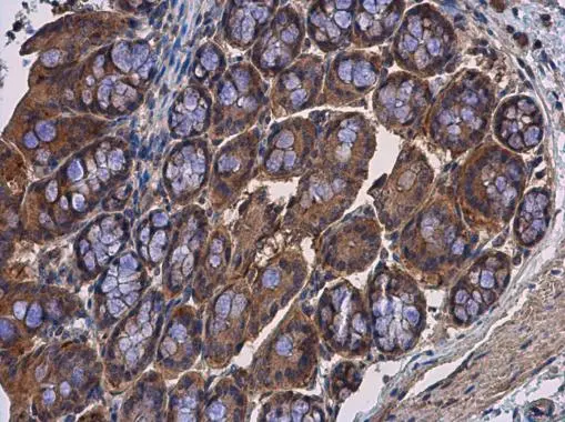
![Calpain 2 antibody [N2C1-2], Internal detects Calpain 2 protein at cytoplasm in mouse colon by immunohistochemical analysis. Sample: Paraffin-embedded mouse colon. Calpain 2 antibody [N2C1-2], Internal (GTX111809) diluted at 1:500.
Antigen Retrieval: Citrate buffer, pH 6.0, 15 min Calpain 2 antibody [N2C1-2], Internal detects Calpain 2 protein at cytoplasm in mouse colon by immunohistochemical analysis. Sample: Paraffin-embedded mouse colon. Calpain 2 antibody [N2C1-2], Internal (GTX111809) diluted at 1:500.
Antigen Retrieval: Citrate buffer, pH 6.0, 15 min](https://www.genetex.com/upload/website/prouct_img/normal/GTX111809/GTX111809_40387_20150724_IHC-P_M_w_23060500_446.webp)

![Various whole cell extracts (30 μg) were separated by 7.5% SDS-PAGE, and the membrane was blotted with Calpain 2 antibody [N2C1-2], Internal (GTX111809) diluted at 1:1000. The HRP-conjugated anti-rabbit IgG antibody (GTX213110-01) was used to detect the primary antibody. Various whole cell extracts (30 μg) were separated by 7.5% SDS-PAGE, and the membrane was blotted with Calpain 2 antibody [N2C1-2], Internal (GTX111809) diluted at 1:1000. The HRP-conjugated anti-rabbit IgG antibody (GTX213110-01) was used to detect the primary antibody.](https://www.genetex.com/upload/website/prouct_img/normal/GTX111809/GTX111809_40387_20220218_WB_w_23060500_581.webp)







