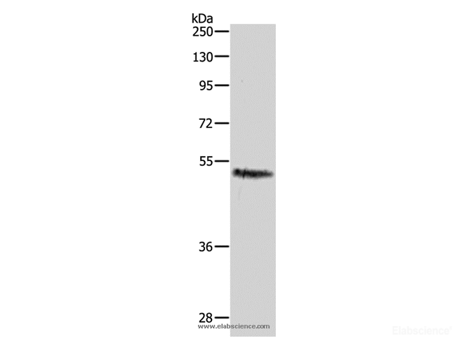
Western Blot analysis of Hela cell using CASP2 Polyclonal Antibody at dilution of 1:1000
CASP2 Polyclonal Antibody
E-AB-10051
ApplicationsWestern Blot
Product group Antibodies
TargetCASP2
Overview
- SupplierElabscience
- Product NameCASP2 Polyclonal Antibody
- Delivery Days Customer12
- ApplicationsWestern Blot
- Applications SupplierELISA WB
- CertificationResearch Use Only
- ClonalityPolyclonal
- Concentration0.4 mg/ml
- ConjugateUnconjugated
- Gene ID835
- Target nameCASP2
- Target descriptioncaspase 2
- Target synonymsCASP-2, ICH1, MRT80, NEDD-2, NEDD2, PPP1R57, caspase-2, caspase 2 apoptosis-related cysteine peptidase, neural precursor cell expressed developmentally down-regulated protein 2, protease ICH-1, protein phosphatase 1, regulatory subunit 57
- HostRabbit
- IsotypeIgG
- Protein IDP42575
- Protein NameCaspase-2
- Scientific DescriptionThis gene encodes a member of the cysteine-aspartic acid protease (caspase) family. Caspases mediate cellular apoptosis through the proteolytic cleavage of specific protein substrates. The encoded protein may function in stress-induced cell death pathways, cell cycle maintenance, and the suppression of tumorigenesis. Increased expression of this gene may play a role in neurodegenerative disorders including Alzheimers disease, Huntingtons disease and temporal lobe epilepsy. Alternatively spliced transcript variants encoding multiple isoforms have been observed for this gene.
- Storage Instruction-20°C
- UNSPSC41116161






