![Whole cell extract (30 μg) was separated by 7.5% SDS-PAGE, and the membrane was blotted with CD105 antibody [N3C3] (GTX100508) diluted at 1:1000. Whole cell extract (30 μg) was separated by 7.5% SDS-PAGE, and the membrane was blotted with CD105 antibody [N3C3] (GTX100508) diluted at 1:1000.](https://www.genetex.com/upload/website/prouct_img/normal/GTX100508/GTX100508_39932_20151119_WB_w_23060100_822.webp)
Whole cell extract (30 μg) was separated by 7.5% SDS-PAGE, and the membrane was blotted with CD105 antibody [N3C3] (GTX100508) diluted at 1:1000.
CD105 antibody [N3C3]
GTX100508
ApplicationsWestern Blot, ImmunoHistoChemistry, ImmunoHistoChemistry Paraffin
Product group Antibodies
ReactivityHuman, Mouse
TargetENG
Overview
- SupplierGeneTex
- Product NameCD105 antibody [N3C3]
- Delivery Days Customer9
- Application Supplier NoteWB: 1:500-1:3000. IHC-P: 1:100-1:1000. *Optimal dilutions/concentrations should be determined by the researcher.Not tested in other applications.
- ApplicationsWestern Blot, ImmunoHistoChemistry, ImmunoHistoChemistry Paraffin
- CertificationResearch Use Only
- ClonalityPolyclonal
- Concentration1 mg/ml
- ConjugateUnconjugated
- Gene ID2022
- Target nameENG
- Target descriptionendoglin
- Target synonymsEND, HHT1, ORW1, endoglin, CD105 antigen, soluble endoglin
- HostRabbit
- IsotypeIgG
- Protein IDP17813
- Protein NameEndoglin
- Scientific DescriptionThis gene encodes a homodimeric transmembrane protein which is a major glycoprotein of the vascular endothelium. This protein is a component of the transforming growth factor beta receptor complex and it binds TGFB1 and TGFB3 with high affinity. Mutations in this gene cause hereditary hemorrhagic telangiectasia, also known as Osler-Rendu-Weber syndrome 1, an autosomal dominant multisystemic vascular dysplasia. Alternatively spliced transcript variants encoding different isoforms have been found for this gene. [provided by RefSeq]
- ReactivityHuman, Mouse
- Storage Instruction-20°C or -80°C,2°C to 8°C
- UNSPSC41116161

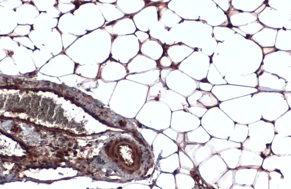
![CD105 antibody [N3C3] detects CD105 protein at cell membrane and cytoplasm by immunohistochemical analysis. Sample: Paraffin-embedded mouse white adipocyte. CD105 stained by CD105 antibody [N3C3] (GTX100508) diluted at 1:500. Antigen Retrieval: Citrate buffer, pH 6.0, 15 min CD105 antibody [N3C3] detects CD105 protein at cell membrane and cytoplasm by immunohistochemical analysis. Sample: Paraffin-embedded mouse white adipocyte. CD105 stained by CD105 antibody [N3C3] (GTX100508) diluted at 1:500. Antigen Retrieval: Citrate buffer, pH 6.0, 15 min](https://www.genetex.com/upload/website/prouct_img/normal/GTX100508/GTX100508_39932_20191101_IHC-P_M_w_23060100_670.webp)






