
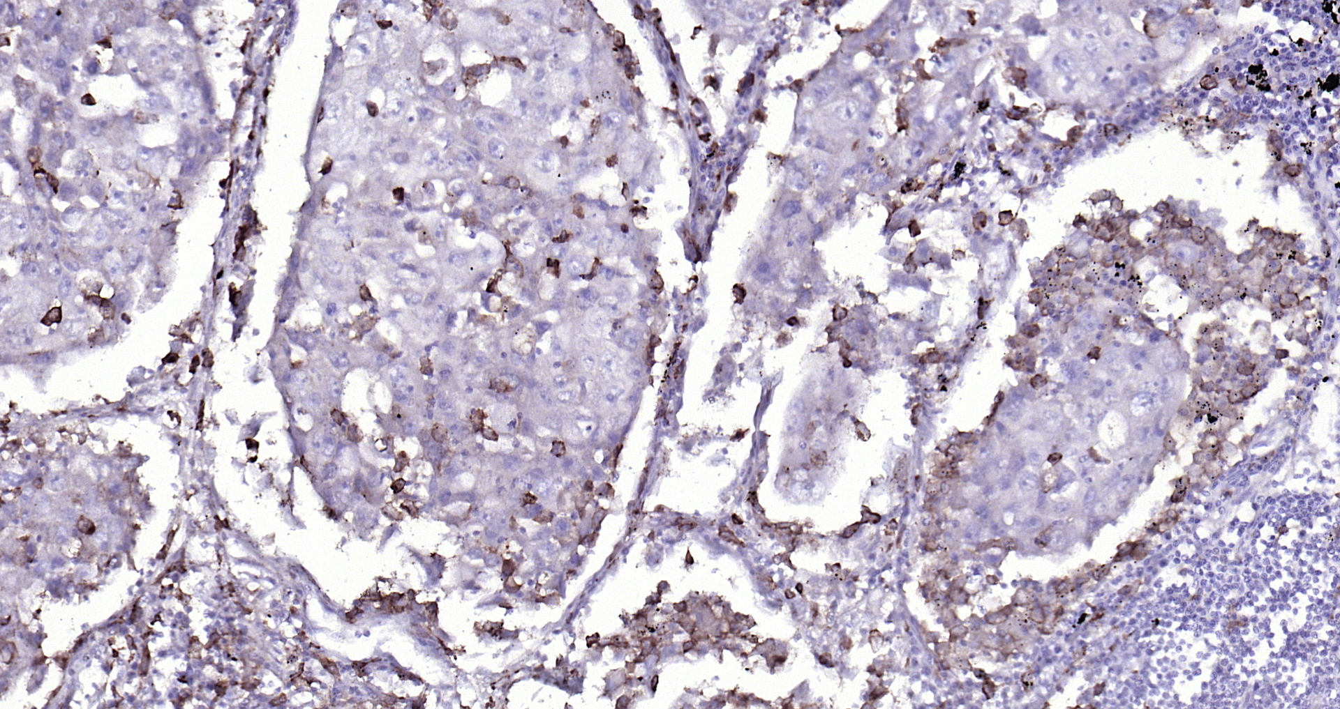
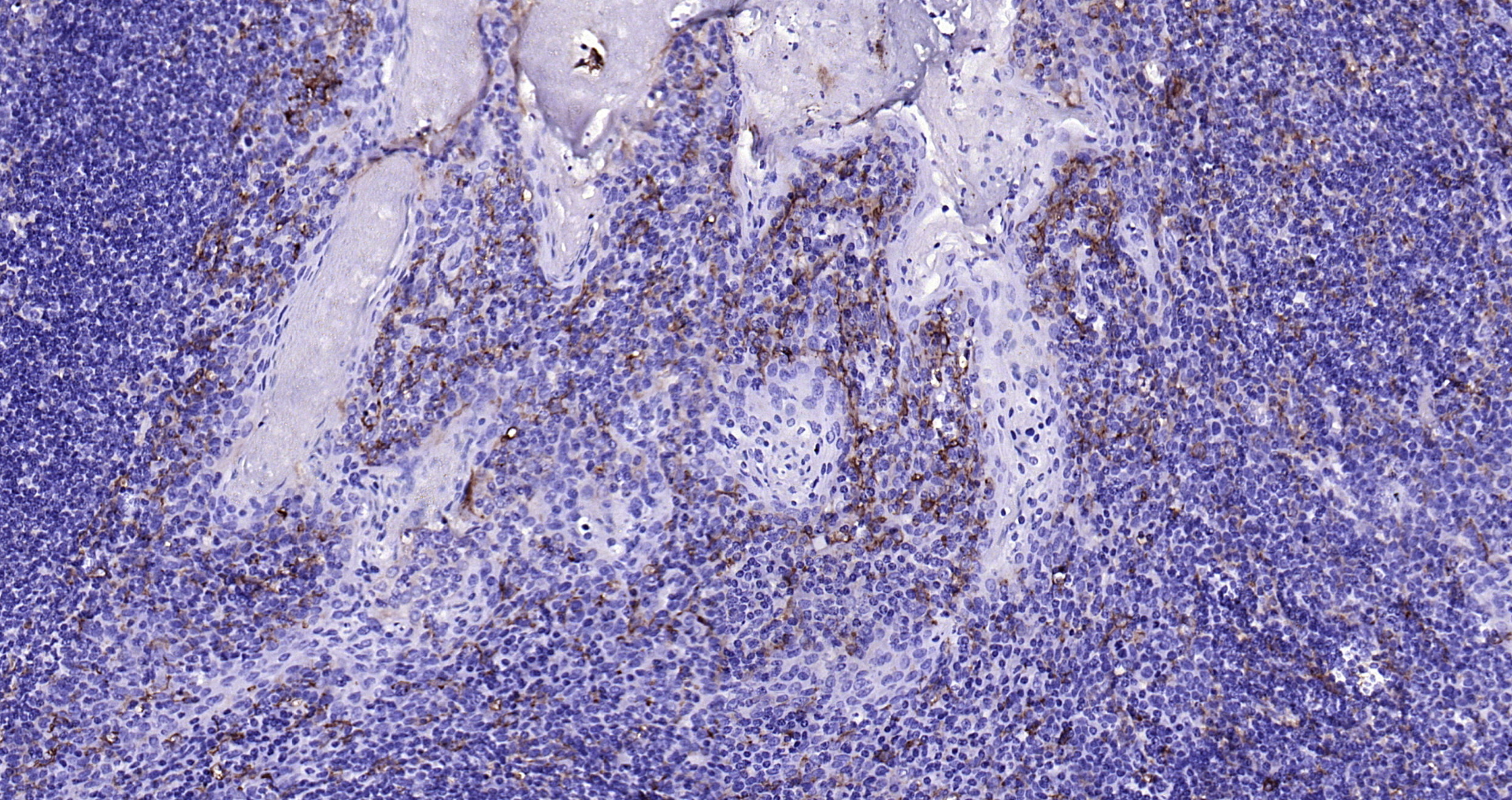
Formalin-fixed and paraffin embedded human lung carcinoma labeled with Anti-CD14 Polyclonal Antibody, Unconjugated (bs-1192R) at 1:200 followed by conjugation to the secondary antibody and DAB staining
CD14 Polyclonal Antibody
BS-1192R
ApplicationsImmunoFluorescence, Western Blot, ELISA, ImmunoCytoChemistry, ImmunoHistoChemistry, ImmunoHistoChemistry Frozen, ImmunoHistoChemistry Paraffin
Product group Antibodies
ReactivityHuman, Mouse
TargetCd14
Overview
- SupplierBioss
- Product NameCD14 Polyclonal Antibody
- Delivery Days Customer16
- ApplicationsImmunoFluorescence, Western Blot, ELISA, ImmunoCytoChemistry, ImmunoHistoChemistry, ImmunoHistoChemistry Frozen, ImmunoHistoChemistry Paraffin
- Applications SupplierWB(1:300-5000), ELISA(1:500-1000), IHC-P(1:200-400), IHC-F(1:100-500), IF(IHC-P)(1:50-200), IF(IHC-F)(1:50-200), IF(ICC)(1:50-200)
- CertificationResearch Use Only
- ClonalityPolyclonal
- Concentration1 ug/ul
- ConjugateUnconjugated
- Gene ID12475
- Target nameCd14
- Target descriptionCD14 antigen
- Target synonymsmonocyte differentiation antigen CD14, myeloid cell-specific leucine-rich glycoprotein
- HostRabbit
- IsotypeIgG
- Protein IDP10810
- Protein NameMonocyte differentiation antigen CD14
- ReactivityHuman, Mouse
- Storage Instruction-20°C
- UNSPSC12352203
References
- Ma WJ, Wu ZR, Yang Q, et al. Biliary antibiotics irrigation for E. coli-induced chronic proliferative cholangitis and hepatolithiasis: A pathophysiological study in rabbits. Clin Res Hepatol Gastroenterol. 2020,44(3):356-367. doi: 10.1016/j.clinre.2019.07.008Read this paper
- Liu GZ, Zhang S, Li YY, et al. Aldosterone stimulation mediates cardiac metabolism remodeling via Sirt1/AMPK signaling in canine model. Naunyn Schmiedebergs Arch Pharmacol. 2019,392(7):851-863. doi: 10.1007/s00210-019-01641-2Read this paper
- Sheu JJ, Lee MS, Wallace CG, et al. Therapeutic effects of adipose derived fresh stromal vascular fraction-containing stem cells versus cultured adipose derived mesenchymal stem cells on rescuing heart function in rat after acute myocardial infarction. Am J Transl Res. 2019,11(1):67-86.Read this paper
- Luo Y, Lu J, Ruan W, et al. MCC950 attenuated early brain injury by suppressing NLRP3 inflammasome after experimental SAH in rats. Brain Res Bull. 2019,146:320-326. doi: 10.1016/j.brainresbull.2019.01.027Read this paper
- Liu Y, Yang D, Wei S, et al. Isolation and characterization of ovine monocyte-derived macrophages from peripheral blood. Vet Immunol Immunopathol. 2018,205:83-92. doi: 10.1016/j.vetimm.2018.11.004Read this paper
- Sahiner IF, Soylu H, Ates E, et al. Impact of intravesical hyaluronic acid treatment on bladder inflammation in interstitial cystitis rat model. Int Braz J Urol. 2018,44(5):1014-1022. doi: 10.1590/S1677-5538.IBJU.2017.0713Read this paper
- Sung PH, Lee FY, Lin LC, et al. Melatonin attenuated brain death tissue extract-induced cardiac damage by suppressing DAMP signaling. Oncotarget. 2018,9(3):3531-3548. doi: 10.18632/oncotarget.23180Read this paper
- Kulhankova K, Kinney KJ, Stach JM, et al. The Superantigen Toxic Shock Syndrome Toxin 1 Alters Human Aortic Endothelial Cell Function. Infect Immun. 2018,86(3). doi: 10.1128/IAI.00848-17Read this paper
- Lee FY, Chen KH, Wallace CG, et al. Xenogeneic human umbilical cord-derived mesenchymal stem cells reduce mortality in rats with acute respiratory distress syndrome complicated by sepsis. Oncotarget. 2017,8(28):45626-45642. doi: 10.18632/oncotarget.17320Read this paper
- Sun CK, Chen CH, Chang CL, et al. Melatonin treatment enhances therapeutic effects of exosomes against acute liver ischemia-reperfusion injury. Am J Transl Res. 2017,9(4):1543-1560.Read this paper









![FACS analysis of 10? RAW264.7 cells using GTX54397 CD14 antibody [Sa14-2]. Black : No ab staining Red : Isotype control Blue : Primary antibody Dilution : 1microg/ml](https://www.genetex.com/upload/website/prouct_img/normal/GTX54397/GTX54397_20201207_FACS_5_w_23060900_581.webp)
