Western blot analysis of extracts of various cell lines using PROCR Polyclonal Antibody at dilution of 1:1000.
CD201 Polyclonal Antibody
E-AB-64767
Product group Antibodies
Overview
- SupplierElabscience
- Product NameCD201 Polyclonal Antibody
- Delivery Days Customer12
- CertificationResearch Use Only
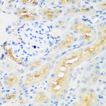
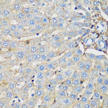
- Scientific DescriptionThe protein encoded by this gene is a receptor for activated protein C, a serine protease activated by and involved in the blood coagulation pathway. The encoded protein is an N-glycosylated type I membrane protein that enhances the activation of protein C. Mutations in this gene have been associated with venous thromboembolism and myocardial infarction, as well as with late fetal loss during pregnancy. The encoded protein may also play a role in malarial infection and has been associated with cancer.
- UNSPSC12352203






