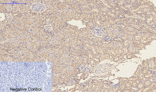
Immunohistochemistry of paraffin-embedded Rat kidney tissue using CD23 Monoclonal Antibody at dilution of 1:200.
CD23 Monoclonal Antibody
E-AB-22012
Product group Antibodies
Overview
- SupplierElabscience
- Product NameCD23 Monoclonal Antibody
- Delivery Days Customer12
- CertificationResearch Use Only
- Scientific DescriptionThe protein encoded by this gene is a B-cell specific antigen, and a low-affinity receptor for IgE. It has essential roles in B cell growth and differentiation, and the regulation of IgE production. This protein also exists as a soluble secreted form, then functioning as a potent mitogenic growth factor. Alternatively spliced transcript variants encoding different isoforms have been described for this gene.
- UNSPSC12352203







