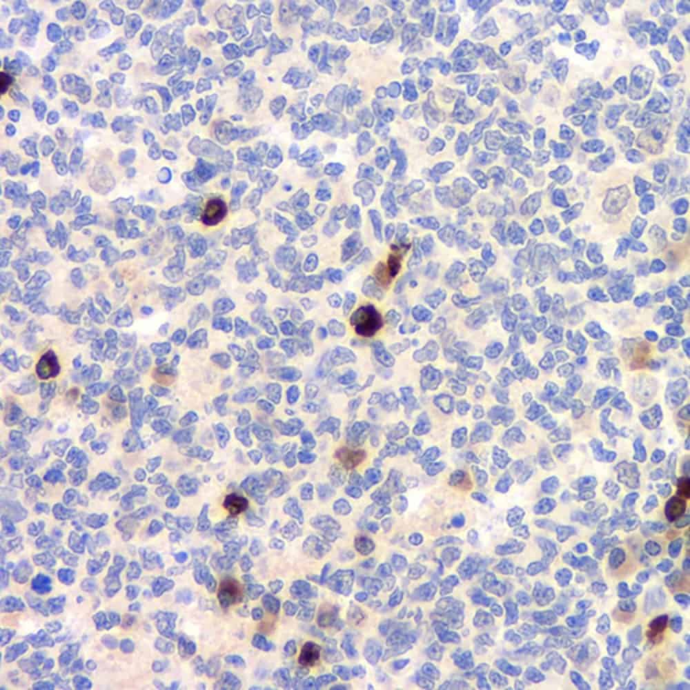
Immunohistochemistry analysis of paraffin-embedded human tonsil using CD284 Polyclonal Antibody at dilution of 1:500.
CD284 Polyclonal Antibody
E-AB-70079
Product group Antibodies
Overview
- SupplierElabscience
- Product NameCD284 Polyclonal Antibody
- Delivery Days Customer12
- CertificationResearch Use Only
- Scientific DescriptionTLR4,also named as CD284,belongs to the Toll-like receptor family. TLR4 cooperates with LY96 and CD14 to mediates the innate immune response to bacterial lipopolysaccharide (LPS). TLR4 acts via MYD88,TIRAP and TRAF6,leading to NF-kappa-B activation,cytokine secretion and the inflammatory response. Three alternatively spliced transcript variants that encode different protein isoforms have been described.
- UNSPSC12352203





