
RSC96 cells probed with\tCD9/MRP-1 Polyclonal Antibody, Unconjugated (bs-2489R ) at 0.2ug for 30 minutes followed by incubation with a conjugated secondary (PE Conjugated) (green) for 30 minutes compared to control cells (blue), secondary only (light blue) and isotype control (orange).
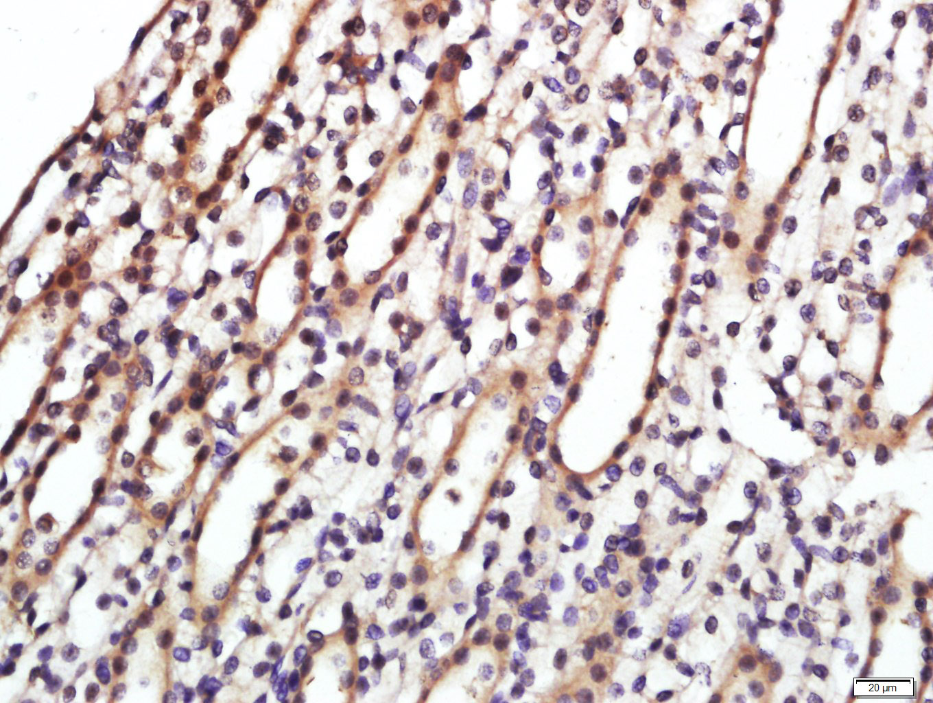
CD9 Polyclonal Antibody
BS-2489R
ApplicationsFlow Cytometry, ImmunoFluorescence, Western Blot, ELISA, ImmunoCytoChemistry, ImmunoHistoChemistry, ImmunoHistoChemistry Frozen, ImmunoHistoChemistry Paraffin
Product group Antibodies
ReactivityBovine, Canine, Human, Mouse, Porcine, Rabbit, Rat, Sheep
TargetCD9
Overview
- SupplierBioss
- Product NameCD9 Polyclonal Antibody
- Delivery Days Customer16
- ApplicationsFlow Cytometry, ImmunoFluorescence, Western Blot, ELISA, ImmunoCytoChemistry, ImmunoHistoChemistry, ImmunoHistoChemistry Frozen, ImmunoHistoChemistry Paraffin
- Applications SupplierWB(1:300-5000), ELISA(1:500-1000), FCM(1:20-100), IHC-P(1:200-400), IHC-F(1:100-500), IF(IHC-P)(1:50-200), IF(IHC-F)(1:50-200), IF(ICC)(1:50-200)
- CertificationResearch Use Only
- ClonalityPolyclonal
- Concentration1 ug/ul
- ConjugateUnconjugated
- Gene ID928
- Target nameCD9
- Target descriptionCD9 molecule
- Target synonymsBTCC-1, DRAP-27, MIC3, MRP-1, TSPAN-29, TSPAN29, CD9 antigen, 5H9 antigen, BA-2/p24 antigen, CD9 antigen (p24), antigen CD9, cell growth-inhibiting gene 2 protein, leukocyte antigen MIC3, motility related protein-1, tetraspanin-29
- HostRabbit
- IsotypeIgG
- Protein IDP21926
- Protein NameCD9 antigen
- ReactivityBovine, Canine, Human, Mouse, Porcine, Rabbit, Rat, Sheep
- Storage Instruction-20°C
- UNSPSC12352203
References
- Jin J, Shi Y, Gong J, et al. Exosome secreted from adipose-derived stem cells attenuates diabetic nephropathy by promoting autophagy flux and inhibiting apoptosis in podocyte. Stem Cell Res Ther. 2019,10(1):95. doi: 10.1186/s13287-019-1177-1Read this paper
- Jankovicova J, Secova P, Manaskova-Postlerova P, et al. Detection of CD9 and CD81 tetraspanins in bovine and porcine oocytes and embryos. Int J Biol Macromol. 2019,123:931-938. doi: 10.1016/j.ijbiomac.2018.11.161Read this paper









