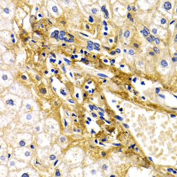
Immunohistochemistry of paraffin-embedded Human liver damage using CFH Polyclonal Antibody at dilution of 1:200 (40x lens).
CFH Polyclonal Antibody
E-AB-60653
Product group Antibodies
Product E-AB-60653 is not available
Product not available
There may be an alternative product available, please contact our technical support team.
Overview
- SupplierElabscience
- Product NameCFH Polyclonal Antibody
- Delivery Days Customer12
- CertificationResearch Use Only
- Scientific DescriptionThis gene is a member of the Regulator of Complement Activation (RCA) gene cluster and encodes a protein with twenty short consensus repeat (SCR) domains. This protein is secreted into the bloodstream and has an essential role in the regulation of complement activation, restricting this innate defense mechanism to microbial infections. Mutations in this gene have been associated with hemolytic-uremic syndrome (HUS) and chronic hypocomplementemic nephropathy. Alternate transcriptional splice variants, encoding different isoforms, have been characterized.
- UNSPSC12352203





