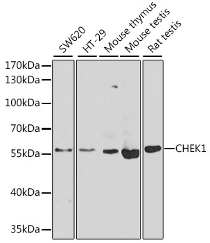
Western blot analysis of extracts of various cell lines using CHEK1 Polyclonal Antibody at dilution of 1:1000.
CHEK1 Polyclonal Antibody
E-AB-62039
Product group Antibodies
Overview
- SupplierElabscience
- Product NameCHEK1 Polyclonal Antibody
- Delivery Days Customer12
- CertificationResearch Use Only
- Scientific DescriptionThe protein encoded by this gene belongs to the Ser/Thr protein kinase family. It is required for checkpoint mediated cell cycle arrest in response to DNA damage or the presence of unreplicated DNA. This protein acts to integrate signals from ATM and ATR, two cell cycle proteins involved in DNA damage responses, that also associate with chromatin in meiotic prophase I. Phosphorylation of CDC25A protein phosphatase by this protein is required for cells to delay cell cycle progression in response to double-strand DNA breaks. Several alternatively spliced transcript variants have been found for this gene.
- UNSPSC12352203





![Untreated (–) and treated (+) C2C12 whole cell extract (30 μg) were separated by 10% SDS-PAGE, and the membrane was blotted with Chk1 (phospho Ser345) antibody [C1C2], Internal (GTX100065) diluted at 1:1000. The HRP-conjugated anti-rabbit IgG antibody (GTX213110-01) was used to detect the primary antibody, and the signal was developed with Trident ECL plus-Enhanced.](https://www.genetex.com/upload/website/prouct_img/normal/GTX100065/GTX100065_43775_20220701_WB_M_treatment_UVC_22070501_509.webp)