
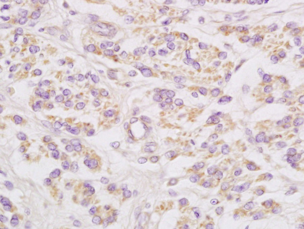
Formalin-fixed and paraffin embedded rat brain labeled with Anti-Connexin-32 Polyclonal Antibody, Unconjugated (bs-1376R) followed by conjugation to the secondary antibody and DAB staining
Connexin-32 Polyclonal Antibody
BS-1376R
ApplicationsImmunoFluorescence, ELISA, ImmunoCytoChemistry, ImmunoHistoChemistry, ImmunoHistoChemistry Frozen, ImmunoHistoChemistry Paraffin
Product group Antibodies
ReactivityBovine, Canine, Equine, Guinea Pig, Human, Mouse, Porcine, Rabbit, Rat
TargetGJB1
Overview
- SupplierBioss
- Product NameConnexin-32 Polyclonal Antibody
- Delivery Days Customer16
- ApplicationsImmunoFluorescence, ELISA, ImmunoCytoChemistry, ImmunoHistoChemistry, ImmunoHistoChemistry Frozen, ImmunoHistoChemistry Paraffin
- Applications SupplierELISA(1:500-1000), IHC-P(1:200-400), IHC-F(1:100-500), IF(IHC-P)(1:50-200), IF(IHC-F)(1:50-200), IF(ICC)(1:50-200)
- CertificationResearch Use Only
- ClonalityPolyclonal
- Concentration1 ug/ul
- ConjugateUnconjugated
- Gene ID2705
- Target nameGJB1
- Target descriptiongap junction protein beta 1
- Target synonymsCMTX, CMTX1, CX32, gap junction beta-1 protein, GAP junction 28 kDa liver protein, connexin-32, gap junction protein, beta 1, 32kDa
- HostRabbit
- IsotypeIgG
- Protein IDP08034
- Protein NameGap junction beta-1 protein
- ReactivityBovine, Canine, Equine, Guinea Pig, Human, Mouse, Porcine, Rabbit, Rat
- Storage Instruction-20°C
- UNSPSC12352203
References
- Zhang JY, Song SD, Pang Q, et al. Hydrogen-rich water protects against acetaminophen-induced hepatotoxicity in mice. World J Gastroenterol. 2015,21(14):4195-209. doi: 10.3748/wjg.v21.i14.4195Read this paper



